 |
Posicionando o cursor sobre as fotos, aguarde alguns segundos para visualizar a finalização do tratamento. |
|
|
|
 |
|
|
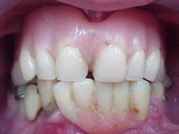
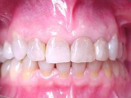
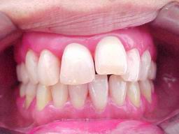
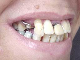
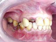
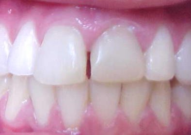
Reabilitação estética multidisciplinar, envolvendo as áreas de ortodontia, cirurgia oral menor, tratamento com enxerto ósseo em bloco, implantes, próteses convencionais, facetas e próteses sobre implantes. |
|
|
 |
|
|
Tratamento bimaxilar com próteses sobre implantes em sobre osso basal reconstruído por enxertia de osso autógeno oriundo de calota craniana (occipital). |
|
|
 |
|
|
Prótese Fixa Acrilizada sobre barra metálica Dentadura Superior versus Prótese Fixa Acrilizada sobre barra metálica fundida, parafusada em mini-pilares sobre implantes*
|
|
|
 |
|
|
Estética em dentaduras. |
|
|
 |
|
|
Reabilitação bimaxilar estética e funcional, com próteses personalizadas e caracterizadas: Total superior (maxila) e fixa sobre 6 implantes implantes inferiores com carregamento imediato (carga imediata). (Vídeo) |
|
|
 |
|
|
Reabilitação estética multidisciplinar realizada por clínico geral, constando de duas fases: Tratamento ortodôntico e tratamento protético.
|
|
|
 |
|
|
Reabilitação Estética por substituição de dentadura superior antiga. |
|
|
 |
|
|
Reabilitação com implantes de carga imediata em mandíbula, em articulação com prótese total superior. |
|
|
 |
|
|
Caso clínico reabilitado estética e funcionalmente por próteses totais bimaxilares em paciente oriental classe lll esquelética* |
|
|
 |
|
|
Caso de reabilitação estética com implantes de carregamento imediato.
|
|
|
 |
|
|
Reabilitação Estética por substituiçao de dentadu ra artificial antiga em maxila |
|
|
 |
|
|
Tratamento estético por substituição de uma prótese total superior por outra peça personalizada na montagem e na confecção de "gengiva artificial". |
|
|
 |
|
|
Prótese Protocolo em METALO-CERÂMICA com "gengiva artificial" caracterizada. (Caso anunciado na REVISTA PLÁSTICA & BELEZA - 25/08/2008)
|
|
|
 |
|
|
Caso clínico reabilitado estética e funcionalmente por um sistema de implantes com carregamento imediato. |
|
|
 |
|
|
Protocolo de Branemark realizado pela técnica de carregamento imediato. Os implantes foram submetidos à função em menos menos de 72 horas. |
|
|
 |
|
|
Reabilitação estética por próteses removíveis: Total superior e Removível convencional inferior. |
|
|
 |
|
|
Reabilitação estética e funcional por meio de substítuição de prótese total removível superior e dentadura aparafusada sobre implantes inferiores (Protocolo de Branemark) no conceito de carga imediata, com gengiva artificial caracterizada. (Vídeo) |
|
|
 |
|
|
Reabilitação multidisciplinar estética e funcional complexa, em cerâmica, associando periodontia, ortodontia, implantes e dentística. |
|
|
 |
|
|
Caso planejado para implantes bimaxilares. A protocolo inferior foi realizada 3 semanas antes da segunda cirurgia. |
|
|
 |
|
|
Apresentamos um caso em tratamento com implantes: Fases pré e pós-cirúrgica, utilizando Provisórios Estéticos. Tratamento Reabilitador completo da arcada superior (por opção da cliente). |
|
|
 |
|
|
Caso preparado para Facetas Cerâmicas: Cirurgia Periodontal Estética para aumento de coroas clínicas (pré e pós-cirúrgico) Diagnóstico: Escurecimento severo por tetraciclina |
|
|
 |
|
|
Reabilitação Estética por substituição de restaurações em amálgama de prata por Inlays Artglass. |
|
|
 |
|
|
Reabilitação Estética por substituição de dentaduras antigas |
|
|
 |
|
|
Reabilitação do sorriso sob orientação de "arquivo fotográfico". A paciente apresentou uma fotografia de seu sorriso natural em sua adolescência. |
|
|
 |
|
|
Reabilitação estética com prótese removível superior e dentadura inferior com gengiva artificial caracterizada. |
|
|
 |
|
|
Reabilitação estética com extração total e confecção de dentaduras bi-maxilares, com gengiva artificial caracterizada. |
|
|
 |
|
|
Substituição de restauração metálica por ARTGLASS. |
|
|
 |
|
|
Tratamento multidisciplinar finalizado em paciente do sexo feminino, 43 anos: Ortodontia e Cirurgia Periodontal Estética. |
|
|
 |
|
|
Caso reabilitado por dentadura imediata (pós-extrações) no maxilar superior, em paciente de 37 anos (sexo feminino). |
|
|
 |
|
|
Caso reabilitado por substituição de dentaduras bi-maxilares em paciente de 52 anos (sexo feminino). |
|
|
 |
|
|
Caso clínico reabilitado pela substituição de múltiplos materiais por próteses em cerâmica pura (In-Ceram). |
|
|
 |
|
|
Paciente do sexo feminino, 40 anos, pele clara. Foram substituídas suas dentaduras por próteses personalizadas com gengiva artificial caracterizada |
|
|
 |
|
|
Paciente do sexo feminino, 51 anos, pele morena clara, sorriso"gengivoso": O plano de tratamento foi feito no sentido de harmonizar a estética da prótese total à sua condição anátomo-fisiológica |
|
|
 |
|
|
Tratamento realizado: Implantes dentários na região dos incisivos centrais e coroa pura em cerâmica, pelo sistema IN-CERAM, sobre o incisivo lateral direito. |
|
|
 |
|
|
Paciente do sexo masculino, 58 anos. Tratamento reabilitador com próteses "protocolo" bimaxilares (superior e inferior) sobre implantes |
|
|
 |
|
|
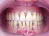
Paciente do sexo feminino, 36 anos.Substituição de coroas metalo-cerâmicas por coroas puras em cerâmica: Sistema IN-CERAM
|
|
|
 |
|
|
Fases pré e pós-cirúrgica, utilizando Provisórios Estéticos.
|
|
|
 |
|
|
Caso reabilitado por substituição da dentadura superior e da prótese removível inferior.Tratamento realizado: Dentadura Superior e 5(cinco) implantes inferiores com carga imediata (protocolo Branemark). |
|
|
 |
|
|
Caso reabilitado por substituição da dentadura superior. Utilizamos gengiva artificial caracterizada (cor natural), palato incolor e dentes posteriores com faces oclusais metálicas (primeiros pré-molares). |
|
|
 |
|
|
Reabilitação funcional e estética em ambas as arcadas com próteses fixas e removíveis de encaixe de precisão. |
|
|
 |
|
|
Caso reabilitado através de coroa pura em cerâmica pelo sistema IN-CERAM. |
|
|
 |
|
|
Reabilitação estética através de próteses totais bi-maxilares com "gengivas artificiais" caracterizadas. |
|
|
 |
|
|
Reabilitação parcial com extração total dos dentes superiores e confecção de prótese total. |
|
|
 |
|
|
Reabilitação funcional e estética de paciente do sexo feminino com atrofia-maxilar superior. |
|
|
 |
|
|
Dentaduras (Caso I). |
|
|
 |
|
|
Dentaduras (Caso II). |
|
|
 |
|
|
Dentaduras (Caso III). |
|
|
 |
|
|
Dentaduras (Caso IV). |
|
|
 |
|
|
Dentadura "Semi-fixa" (Caso V). |
|
|
 |
|
|
Dentadura superior e prótese removível sobre coroas telescópicas. |
|
|
 |
|
|
Clareamento dental químico Restaurações estéticas em resinas. |
|
|
 |
|
|
Clareamento dental por facetas cerâmicas. |
|
|
 |
|
|
Reabilitação bucal por prótese fixas e removíveis. |
|
|
 |
|
|
Fechamentos de espaços com resina composta. |
|
|
 |
|
|
Alternativas de uso de materiais restauradores cosméticos. |
|
|
 |
|
|
Restaurações de abrasões de colo dentário. |
|
|
 |
|
|
Restaurações invisíveis. |
|
|
 |
|
|
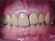
Estética em metalo-cerâmica (Elemento unitário).
|
|
|
 |
|
|
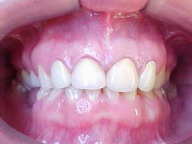
Estética em coroas puras de cerâmica (Múltiplos elementos) paciente adulto. Metal-free |
|
|
 |
|
|
Piercings dentários (Pedras não-preciosas. Origem: Itália). |
|
|
 |
|
|
Caso reabilitado por prótese total removível retida por botões O'Ring. |
|
|
 |
|
|
CASO REABILITADO POR PRÓTESE METALO-CERÂMICA SUPERIOR E PRÓTESE INFERIOR REMOVÍVEL SOBRE COROAS TELESCÓPICAS. |
|
|
 |
|
|
Paciente reabilitada por substituição de dentadura confeccionada a partir de REGISTROS DE PRECISÃO" sobre Mucosa (elimina a fase de ajustes oclusais). |
|
|
 |
|
|
Paciente reabilitada por substituição de dentadura confeccionada a partir de "REGISTROS DE PRECISÃO" sobre Mucosa (elimina a fase de ajustes oclusais). |
|
|
 |
|
|
Paciente do sexo masculino, 36 anos. Substituição de coroas metalo-cerâmicas por coroas puras em cerâmica: Sistema IN-CERAM. |
|
|
 |
|
|
Caso tratado por substituição de dentadura superior com oclusais metálicas e próteses metalo-cerâmicas (porcelana) inferiores. |
|
|
 |
|
|
Caso tratado por confecção de dentaduras após extração dentária em ambas as arcadas. |
|
|
 |
|
|
Caso de cirurgia periodontal estética. |
|
|
 |
|
|
Descruzamento de trauma incisal por facetas cerâmicas. |
|
|
|