|
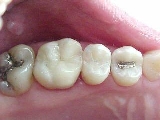
Caso 1
|
|
ANTES
|
DEPOIS
|
 |
 |
INLAY / ONLAY Restauração estética indireta* em resina |
| |
| |
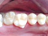
| Caso 2 |
| ANTES |
DEPOIS |
 |
 |
INLAY / ONLAY Restauração estética indireta* em resina |
| |
| |
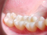
| Caso 3 |
| ANTES |
DEPOIS |
 |
 |
INLAY / ONLAY Pré-molar: Restauração estética direta em resina Primeiro molar: Coroa metalo-cerâmica Segundo molar: Restauração indireta (idem caso acima) |
| |
| |
| Caso 4 |
| ANTES |
DEPOIS |
 |
 |
| Substituição de restaurações em amálgama de prata por resina composta no segundo pré-molar e por ONLAY ARTGLASS no primeiro molar. |
| |
|
 |
 |
| Fase laboratorial ONLAY ARTGLASS |
| |
|
| |
|
| ANTES |
DEPOIS |
 |
 |
| Caso acima, em outro ângulo, no momento da cimentação do ONLAY |
| |
| Caso 5 |
 |
 |
| ANTES |
DEPOIS |
| |
| |
| O caso acima ilustra uma substituição de restauração de amálgama por um INLAY Artglass ( 1º molar) e restauração em resina composta no 2º molar. |
| |
| Caso 6 |
 |
 |
 |
| Seqüência laboratorial e clínica (pós-cimentação) |
| |
| Caso 7 |
 |
 |
| |
 |
 |
 |
| Seqüência laboratorial e clínica (pós-cimentação) |
| |
| Caso 8 |
 |
 |
| Substituição de restaurações de amálgama por Artglass e Resina Composta. |
| * Confeccionada em laboratório |