10 de março de 2026, 05:01 Busca no site:
 
 





 
09/06/2008

Entrevista Dr Amilcar Fernandes Neto-Parte 1
 
09/06/2008

Entrevista Dr Amilcar Fernandes Neto-Parte 2
 
09/06/2008

Entrevista Dr Amilcar Fernandes Neto-Parte 3
 
             
 
09/06/2008

Entrevista Dr Amilcar Fernandes Neto-Parte 4
 
11/06/2008

Dr. Amilcar Fernandes / Implantes Dentários
 
02/12/2008

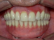
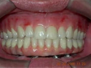
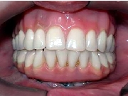
Reabilitações totais
 
             
 
18/04/2010

Nosso vídeo com mais de 100 acessos diários!
 
27/04/2010

Protocolo de Branemark
 
06/08/2010

Orientação e motivação para tratamento com IMPLANTES DENTÁRIOS
 
             
2