12 de março de 2026, 05:27 Busca no site:
 
 





Voltar

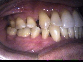
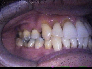
 Restaurações de abrasões de tecido 
dentário ao nível do colo dental, com resina composta.

ANTES

 
DEPOIS