12 de março de 2026, 05:39 Busca no site:
 
 





Voltar

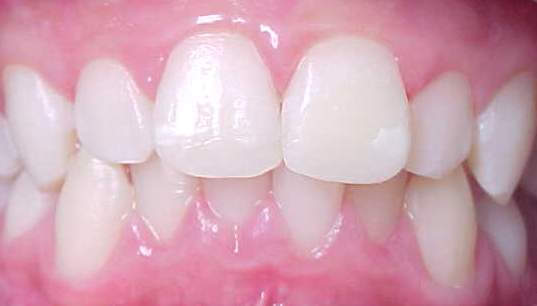
RESTAURAÇÕES INVISÍVEIS

ANTES

DEPOIS

Restauração estética de fratura de ângulo
 
ANTES DEPOIS
 
ANTES DEPOIS