12 de março de 2026, 05:39 Busca no site:
 
 





Voltar

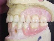
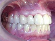
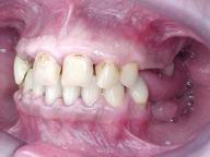
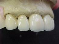
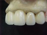
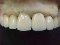
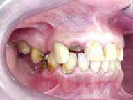
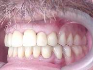
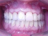
Reabilitação funcional e estética em ambas as arcadas
com próteses fixas e removíveis de encaixe de precisão.

ANTES

DEPOIS
Vista Lateral Direita
   
Vista Lateral Esquerda
   
Fase Intermediária Vista Frontal
   
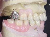
Vista Oclusal Sobre Modelos de Gesso