12 de março de 2026, 05:27 Busca no site:
 
 





Voltar

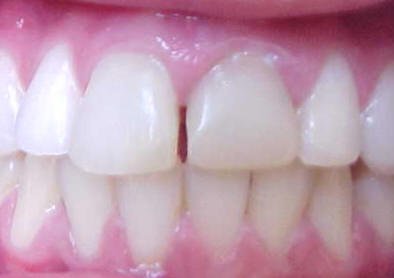
Caso reabilitado através  de coroa pura em
cerâmica pelo sistema
IN-CERAN

ANTES

DEPOIS
 
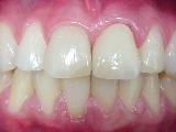
Dente traumatizado restaurado inicialmente em resina composta Clique aqui para visualizar em grande aumento a prótese concluída
 
 
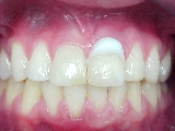
Cimentação da prótese em cerâmica pura
 
 
Aspecto final da restauração "invisível"