12 de março de 2026, 05:39 Busca no site:
 
 





Voltar

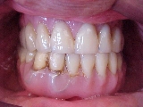
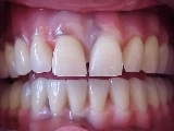
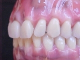
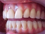
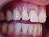
Reabilitação através de próteses totais bi-maxilares com dentes IVOCLAR e "gengivas" artificiais caracterizadas em resina acrílica termopolimerizável

ANTES

DEPOIS
 
Vista Frontal
 
Vista Lateral Esquerda
 
Antes Depois
 

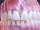
Fase laboratorial (antes dos desgastes incisais)

 

Fase da instalação: caracterizada por desgastes incisais