|
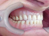
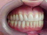
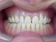
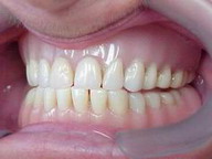
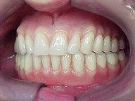
Paciente do sexo feminino, 40 anos, pele clara.
Foram substituídas suas dentaduras por próteses personalizadas com gengiva artificial caracterizada
|
 |
 |
| Antes |
Depois |
| |
|
 |
 |
| Antes |
Depois |
| |
|
 |
 |
| Antes |
Depois |
| |
|
 |
 |
| Antes |
Depois |
| |
|
 |
 |
| Antes |
Depois |
| |
|
 |
 |
| Antes |
Depois |
| |
 |
 |
| Antes |
Depois |
| |
 |
 |
| Antes |
Depois |
| |
 |
 |
| Antes |
Depois |
| |
 |
 |
| Antes |
Depois |
| |
 |
 |
| Antes |
Depois |
| |
 |
Vista frontal da articulação dentária em cera com grande abertura posterior (distância entre molares)
|
| |
|
 |
Vista frontal pós-prensagem e acabamento da resina (gengiva artificial caracterizada) |
| |
|
 |
Vista lateral direita após acabamento
|
| |
|
 |
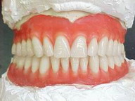
Vista frontal após acabamento |
| |
|
 |
Vista lateral esquerda após acabamento |
| |
|
 |
Vista oclusal do palato transparente ("pálato incolor") |
| |
|
 |
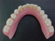
Vista oclusal inferior |
| |
|
 |
Vista interna do palato transparente |
| |
|
 |
Vista interna da prótese inferior |
| |
|
 |
Vista interna da articulação posterior esquerda |
| |
|
 |
Vista interna da articulação anterior |
| |
|
 |
Vista interna da articulação posterior direita |
| |
|
 |
Detalhe natural |
| |
|
 |
Outro detalhe: "mordendo a língua" |
| |
|
 |
Aspecto final após reabilitação |
| |
|
As articulações dentárias (montagem laboratorial) do caso apresentado nesta página foram realizadas pelo Dr. Amilcar Fernandes da Silva Neto. |