|
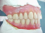
Paciente do sexo feminino, 51 anos, pele morena clara, sorriso"gengivoso":
O plano de tratamento foi feito no sentido de harmonizar a estética da prótese total à sua condição anátomo-fisiológica
(dentaduras personalizadas com gengiva caracterizada)
|
 |
 |
| Antes |
Depois |
| |
|
 |
 |
| Antes |
Depois |
| |
|
 |
 |
| Antes |
Depois |
| |
|
 |
 |
| Vista lateral direita da articulação dentária ligeiramente em classe II ortodôntica |
Vista lateral esquerda da articulação dentária ligeiramente em classe II ortodôntica |
| |
 |
 |
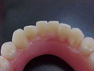
| Vista oclusal da prótese superior com palato transparente ("pálato incolor") |
Vista oclusal da dentadura inferior |
| |
 |
Vista oclusal de ambas as próteses |
| |
 |
Vista oclusal do detalhe articular (ligeiro apinhamento ântero-inferior) |
| |
 |
Vista frontal da articulação personalizada |
| |
 |
Vista lateral direita exibindo a harmonia da articulação com os lábios |
| |
 |
Vista lateral exibindo a máxima elevação dos músculos durante o sorriso.
N.B.: Esta é uma condição natural do sorriso da paciente.
|
| |
|
 |
Aspecto final após a reabilitação.
|
| |
|
As articulações dentárias (montagem laboratorial) do caso apresentado nesta página foram realizadas pelo Dr. Amilcar Fernandes da Silva Neto. |