 |
 |
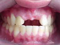
| Antes: Prótese removível provisória, conforme se apresentou à primeira consulta |
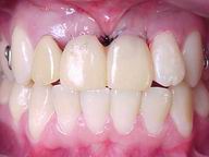
Depois: Próteses cerâmicas ao final do tratamento |
| |
|
 |
 |
| Radiografia panorâmica evidenciando a zona traumatizada |
Acompanhamento radiográfico pré, trans e pós cirúrgico. |
| |
|
 |
 |
| RX periapical da zona traumatizada |
RX periapical da mesma região após a instalação dos implantes: 22/01/2004 |
| |
|
 |
 |
| Vista frontal sem a removível provisória |
Pós-operatório imediato após segunda fase cirúrgica: Reabertura dos implantes após 4 meses |
| |
 |
 |
| Pós-operatório imediato após segunda fase cirúrgica: Reabertura dos implantes após 4 meses |
Adaptação da primeira provisória sobre os implantes (sem contato com os componentes cicatrizadores) |
| |
 |
 |
| Aspecto final após a reabilitação 23/08/2004 |
Aspecto final após a reabilitação.
Obs.: Aguarda cicatrização completa da gengiva entre incisivo lateral e central
|