|
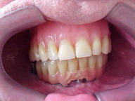
ANTES
|
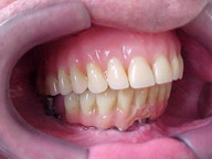
DEPOIS |
|
 |
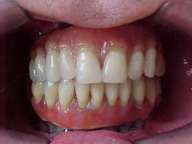
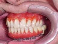
| Plano oclusal dos provisórios severamente inclinado para a direita |
Plano oclusal corrigido |
| Vista Frontal |
| |
|
 |
| Plano oclusal dos provisórios severamente inclinado para a direita |
Plano oclusal corrigido |
| Vista Lateral Direita |
| |
 |
 |
| Plano oclusal dos provisórios severamente inclinado para a direita |
Plano oclusal corrigido |
| Vista Lateral Esquerda |
| |
 |
|
 |
Estudo no modelo de gesso para correção do desnível do plano oclusal. VISTA DIREITA |
Estudo no modelo de gesso para correção do desnível do plano oclusal. VISTA ESQUERDA |
| |
 |
|
 |
| Ensaio de articulação: Dentes superiores montados em cera. Dentes inferiores montados em resina acrílica. |
| |
 |
 |
Prova de articulação (vista lateral direita) |
Prova de articulação (vista lateral esquerda) |
| |
| |
 |
 |
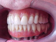
Protocolos instaladas (vista frontal) |
Protocolos instaladas (vista frontal) |
| |
 |
 |
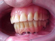
| Antes |
Depois |
| |
 |
|
 |
| Avaliação do espaço protético para confecção da barra metálica da prótese protocolo. |
Prova de articulação em fase laboratorial: Superior em cera e inferior acrilizada. |
| |
| |
 |
|
 |
| Prótese protocolo (vista oclusal). |
Réplicas dos implantes no modelo inferior. |
| |
 |
 |
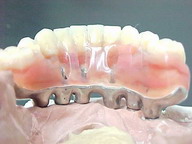
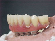
Protocolo Superior (vista de cima) |
Protocolo Superior (vista frontal) |
| |
 |
 |
Protocolo Superior (vista lateral direita) |
Protocolo Superior (vista lateral esquerda) |
| |
 |
 |
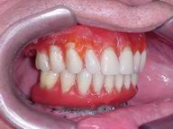
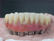
Protocolo Inferior (vista frontal) |
Protocolo Inferior (vista lingual) |
| |
 |
 |
Protocolo Inferior (vista lateral direita) |
Protocolo Inferior (vista lateral esquerda) |
| |
|
As articulações dentárias (montagem laboratorial) do caso apresentado nesta página foram realizadas pelo Dr. Amilcar Fernandes da Silva Neto.
|