10 de março de 2026, 05:03 Busca no site:
 
 





Voltar

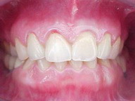
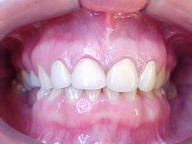
  Paciente do sexo feminino, 36 anos.
Substituição de coroas metalo-cerâmicas por 
coroas puras em cerâmica: Sistema IN-CERAM

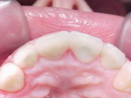
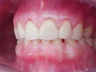
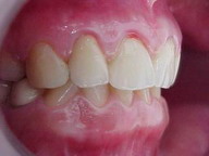
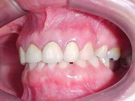
Obs.: Fotografias obtidas imediatamente após a cimentação das próteses.
 A irritação gengival do incisivo central deu-se em conseqüência deste ato.

ANTES

DEPOIS
Vista Lateral Direita
   
Vista Frontal
   
Vista Lateral Esquerda
 
 
Resultado após tratamento.