|
Apresentamos um caso com implantes: Fases pré e pós-cirúrgica, utilizando Provisórios Estéticos
|
 |
 |
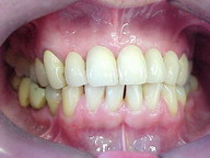
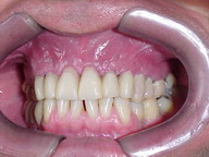
| Antes: Ponte Fixa Metalo-Cerâmica |
Depois: Prótese Provisória (Antes da cirurgia) |
| |
 |
 |
Construção dos Provisórios Estéticos em laboratório |
Construção dos Provisórios Estéticos em laboratório |
| |
 |
 |
Construção dos Provisórios Estéticos em laboratório |
Provisórios Estéticos após ajustes feitos diretamente na boca |
| |
 |
 |
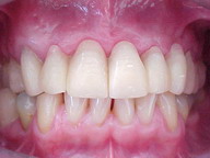
| Antes: Ponte Fixa Metalo-Cerâmica |
Depois: Prótese Provisória (Antes da cirurgia) |
| |
 |
 |
| Antes: Ponte Fixa Metalo-Cerâmica |
Depois: Prótese Provisória (Antes da cirurgia) |
| |
 |
 |
| Antes: Ponte Fixa Metalo-Cerâmica |
Depois: Prótese Provisória (Antes da cirurgia) |
| |
 |
 |
| Construção da guia cirúrgica |
Construção da guia cirúrgica |
| |
 |
 |
| Prova da guia cirúrgica na boca |
Prova da guia cirúrgica na boca |
| |
 |
 |
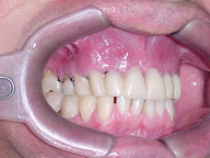
Vista direita: Provisórios Estéticos (Após a cirurgia) |
Vista esquerda: Provisórios Estéticos (Após a cirurgia) |
| |
 |
 |
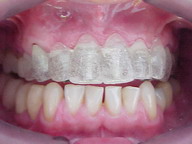
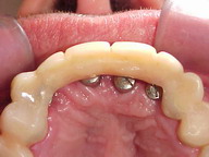
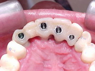
| Vista Oclusal: Provisórios Estéticos com alívio sobre cicatrizadores (pós-cirurgia) |
Vista Oclusal: Provisórios Estéticos em preparação para ligação aos implantes |
| |
 |
 |
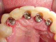
| Prova de componentes protéticos provisórios sobre os implantes |
Prova de componentes sobre os implantes e relacionando aos desgastes |
| |
 |
 |
| Adição de acrílico para ligação dos componentes aos provisórios |
Acrílico polimerizado |
| |
 |
 |
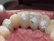
| Acrílico polimerizado
(vista oclusal)
|
Vista oclusal da arcada superior após interligação dos provisórios com os implantes |
| |
 |
 |
| Vista palatina da região implantada, após interligação dos provisórios com os implantes |
Vista direita: Provisórios Estéticos interligados aos implantes
|
| |
|
 |
Vista lateral direita após instalação das próteses metalo-cerâmica. |
| |
|
 |
Vista frontal após instalação das próteses metalo-cerâmica. |
| |
|
 |
Vista lateral esquerda após instalação das próteses metalo-cerâmica. |
| |
|
 |
Caso Finalizado |
| |
|
 |
| |
|
As articulações dentárias (montagem laboratorial) dos provisórios apresentados nesta página foram realizadas pelo Dr. Amilcar Fernandes da Silva Neto. |