|
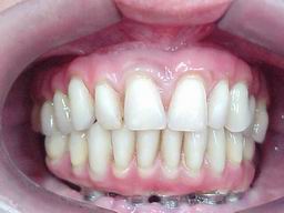
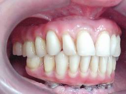
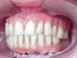
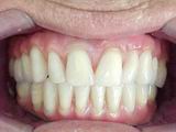
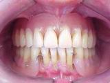
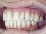
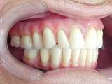
"Há muitos anos eu vinha precisando de um tratamento odontológico. Meu caso estava indicado para implantes. Após meu tratamento atingi plenamente minhas expectativas com relação ao conforto e estética. Recomendo a todos que tiverem necessidade desse tipo de trabalho que busquem informações com o Dr. Amilcar Fernandes Neto, na Carmella Russo Odontologia. Estou muito feliz com os resultados. Santo Antônio da Platina, 10 de setembro de 2.003. Ass.:M. H. C S."
|
 |