12 de março de 2026, 05:39 Busca no site:
 
 





Voltar

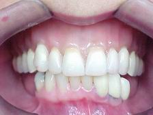
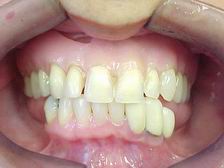
Caso reabilitado por substituição da dentadura superior. Utilizamos gengiva artificial caracterizada (cor natural), palato incolor e dentes posteriores com faces oclusais metálicas (primeiros pré-molares).

ANTES DEPOIS

Vista Frontal

 
ANTES DEPOIS
 

Vista Lateral Direita

 
ANTES DEPOIS

Vista Lateral Esquerda

 
ANTES DEPOIS

Vista Frontal (Boca Aberta)

 

Gengiva Artificial Caracterizada e Oclusais Metálicas nos Pré-Molares