12 de março de 2026, 05:30 Busca no site:
 
 





Voltar
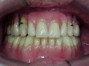
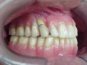
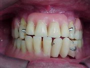
Reabilitação estética com com prótese removível superior e dentadura inferior com gengiva artificial caracterizada.
Enxerto
ANTES DEPOIS
Enxerto gen
ANTES DEPOIS
Enxerto gen
ANTES DEPOIS
Enxerto gen
 
ANTES DEPOIS
 
ANTES DEPOIS
 
ANTES DEPOIS
 
ANTES DEPOIS
Caso concluído com reversão da tendência articular em Classe III devido à atresia maxilar 
   
Articulação dentária realizada pelo Dr. Amilcar Fernandes da Silva Neto