|
|
|
|
 |
|
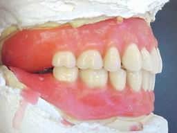
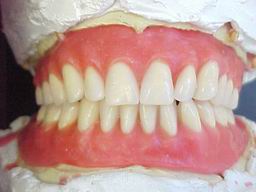
| Reabilitação estética com extração total e confecção de dentaduras bi-maxilares, com gengiva artificial caracterizada. |
| Enxerto gen |
 |
 |
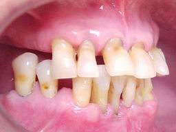
| ANTES |
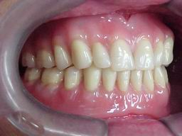
DEPOIS |
| Enxerto gen |
 |
 |
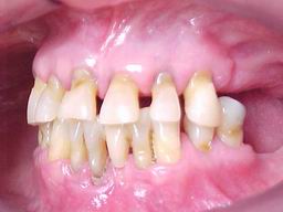
| ANTES |
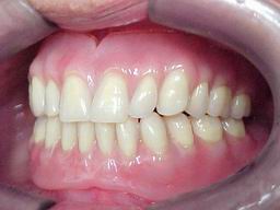
DEPOIS |
| Enxerto gen |
 |
 |
| ANTES |
DEPOIS |
| Enxerto gen |
 |
 |
| ANTES |
DEPOIS |
| Enxerto gen |
 |
 |
| ANTES |
DEPOIS |
| |
|
|
 |
 |
 |
| |
|
|
 |
 |
 |
| |
|
 |
 |
| Caso tratado pelo Dr. Amilcar Fernandes da Silva Neto. |
|
    |
|
|
|
|
|