12 de março de 2026, 05:22
Busca no site:
Interna
Google
Voltar
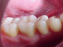
Substituição de restauração metálica por ARTGLASS
Enxerto gen
ANTES
DEPOIS
0
Tratamento realizado pelo
Dr. Amilcar Fernandes da Silva Neto.