|
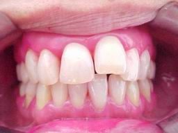
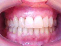
Tratamento multidisciplinar finalizado em paciente do sexo feminino, 43 anos: Ortodontia e Cirurgia Periodontal Estética tratamento ortodôntico em adultos ortodontia adultos
|
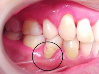
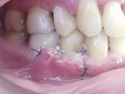
| Enxerto gengival livre; enxerto de conjuntivo; Ortodontia em adulto; ortondontia; ortondotia |
 |
 |
| ANTES |
DEPOIS |
| |
|
| ANTES: Retração gengival |
Enxerto após cicatrização |
| |
|
 |
 |
| ANTES |
DEPOIS |
| |
|
 |
 |
| ANTES |
DEPOIS |
| |
|
 |
 |
| 0ANTES |
Movimentação Extrusiva |
| |
|
 |
 |
| ANTES |
DEPOIS |
| |
|
 |
 |
| ANTES |
DEPOIS |
| |
|
 |
 |
| Aspecto pós-cirúrgico imediato |
Aspecto pós-cirúrgico tardio |
| 0 |
Tratamento completo realizado pelo Dr. Amilcar Fernandes Neto. |