|
|
|
|
 |
|
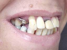
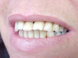
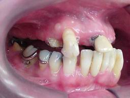
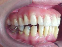
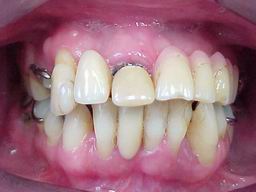
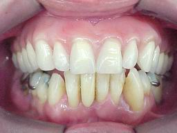
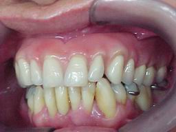
| Caso reabilitado por dentadura imediata (pós-extrações) no maxilar superior, em paciente de 37 anos (sexo feminino). |
| dentaduras especiais proteses próteses especiais dentaduras personalizadas dentadura personalizada |
 |
 |
| ANTES |
DEPOIS |
| |
|
 |
 |
| ANTES |
DEPOIS |
| |
|
 |
 |
| ANTES |
DEPOIS |
| |
|
 |
 |
| ANTES |
DEPOIS |
| |
|
 |
 |
| 0ANTES |
DEPOIS |
| 0 |
As articulações dentárias (montagem laboratorial) do caso apresentado nesta página foram realizadas pelo Dr. Amilcar Fernandes da Silva Neto. |
|
    |
|
|
|
|
|