|
|
|
|
 |
|
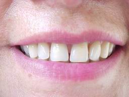
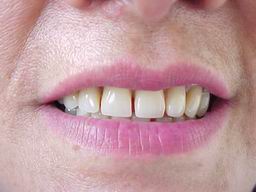
Caso reabilitado por substituição de dentaduras bi-maxilares em paciente de 52 anos (sexo feminino). |
| |
 |
|
| ANTES |
DEPOIS |
| |
|
|
 |
| ANTES |
DEPOIS |
| 0 |
As articulações dentárias (montagem laboratorial) do caso apresentado nesta página foram realizadas pelo Dr. Amilcar Fernandes da Silva Neto. |
|
    |
|
|
|
|
|