12 de março de 2026, 05:23 Busca no site:
 
 





Voltar

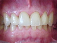
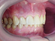
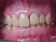
Caso clínico reabilitado pela substituição de múltiplos materiais por próteses em cerâmica pura (In-Ceram).

Vista Frontal

Antes Depois
   
   

 Vista Lateral Direita

Antes Depois