10 de março de 2026, 06:46 Busca no site:
 
 





Voltar

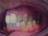
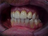
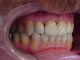
 Paciente do sexo masculino, 36 anos.
Substituição de coroas metalo-cerâmicas por 
coroas puras em cerâmica: Sistema
IN-CERAM

Obs.: Caracterização através de pintura da região de colo dentário.

ANTES

DEPOIS
Vista Lateral Direita
   
Vista Frontal
   
Vista Lateral Esquerda
 
Resultado após tratamento.