12 de março de 2026, 05:22 Busca no site:
 
 





Voltar

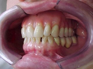
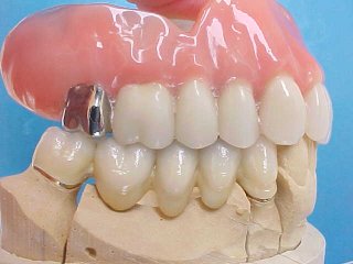
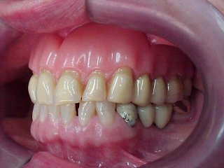
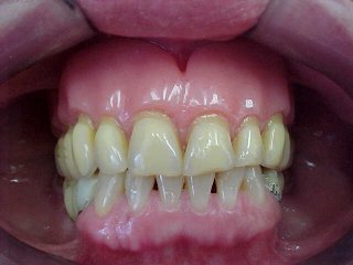
Caso tratado por substituição de dentadura superior com oclusais metálicas e próteses metalo-cerâmicas (porcelana) inferiores.

ANTES

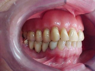
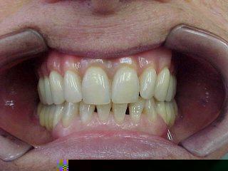
DEPOIS
Vista Frontal
 
Vista Lateral Esquerda
 
Vista Lateral Direita
 
Resultado após tratamento.