12 de março de 2026, 05:30 Busca no site:
 
 





Voltar

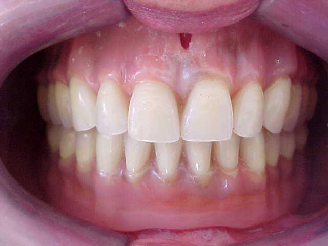
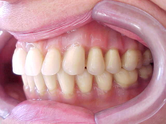
Caso tratado por confecção de dentaduras após extração dentária em ambas as arcadas.

ANTES

DEPOIS
Vista Frontal
 
Vista Lateral Esquerda
 
Vista Lateral Direita
 
Vista Lateral Direita
 
Vista Frontal
 
Vista Lateral Esquerda