12 de março de 2026, 05:27 Busca no site:
 
 





Voltar

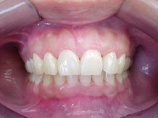
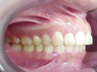
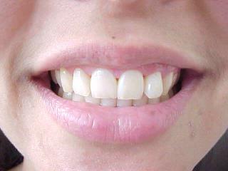
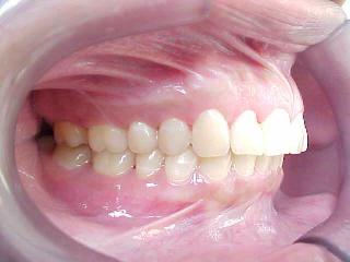
Caso de cirurgia periodontal estética.
Realizamos regularização da margem gengival, promovendo aumento da coroa clinica dos dentes superiores. Esta técnica visa diminuir o sorriso gengivoso.
 

ANTES

DEPOIS