10 de março de 2026, 06:46 Busca no site:
 
 





Voltar

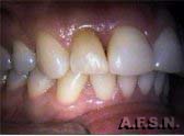
Laminado em Cerâmica
Caso I 

Dente escurecido por tratamento de canal.

Laminado (faceta) em Cerâmica.

Estética recuperada.

0

Laminados em Cerâmica
Caso II 

ANTES DEPOIS
 
ANTES DEPOIS

Descruzamento de trauma incisal por facetas cerâmicas.
(Caso clinico ilustrativo de uma situação onde a solução ortodôntica estava contra-indicada.)