Caso clínico planejado e tratado tendo como guia de orientação estética o sorriso e a articulação dentária de uma filha da paciente. O critério de escolha dos dentes artificiais foi pela avaliação da semelhança fenotípica entre ambas. A montagem dos dentes nas fases de prova obedeceu a técnica dos Registros de Precisão em Próteses Totais, eliminando-se assim os desgastes oclusais habituais na fase de instalação das próteses, preservando-se a anatomia oclusal e a eficiência mastigatórias. Tempo entre a cirurgia implantar e a instalação das próteses: 30 horas.
|
|
 |

|
|
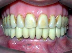
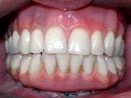
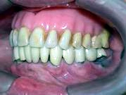
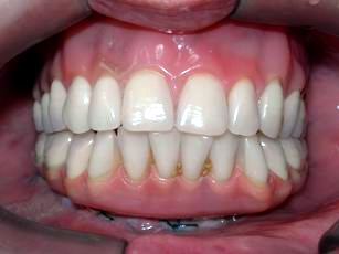
ANTES
|
DEPOIS
|
| |
|
 |
 |
|
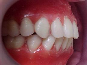
ANTES
|
DEPOIS VIDEO
|
| |
|
 |
 |
|
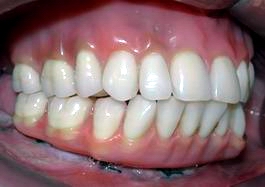
ANTES
|
DEPOIS
|
| |
|
|

|
|
|
ANTES
|
DEPOIS
|
| |
|
|

|
|
|
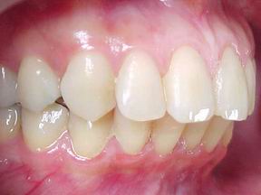
VISTA DIREITA EM CLOSE
|
VISTA ESQUERDA EM CLOSE
|
| |
|
|

|

|
|
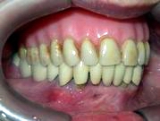
ANTES
|
DEPOIS
|
| |
|

|
|
|
ANTES
|
DEPOIS
|
| |
|

|
|
|
ANTES
|
DEPOIS
|
| |
|

|
Mucosa sobre rebordo alveolar inferior momentos antes da cirurgia de instalação dos implantes osseointegráveis (anestesia local)
|
|
|
|
| |
|

|
Dispositivos de moldagem instalados sobre os implantes
|
|
|
|
| |
|

|
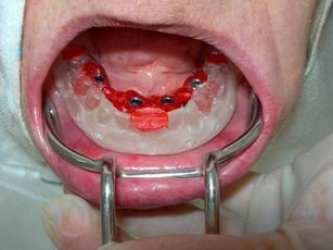
Guia multifuncional interligada aos transferentes(azuis) respeitando o registro de articulação previamente estabelecidos(contatos oclusais em acrílico DURALAY). Obs.: Não há compressão da guia sobre mucosa na região implantada!
|
|
|
|
|
|
Conferência do registro articular entre os arcos antagonistas(acrílico DURALAY)
|
|
|
|
|
Complementação das reentrâncias internas da guia multifuncional com elastômero para copiar detalhes da mucosa
|
|
|
|
|
Implantes fotografados sem os dispositivos de proteção
|
|
|
|
| |
|
|
Implantes protegidos por cilindros metálicos de proteção
|
|
|
|
|
|

|
Prótese protocolo imediata sobre as réplicas dos implantes transferidas em modelo de trabalho em gesso especial montado em "ASA"
|
|
VISTA FRONTAL
|
|
|
|
 |
Prótese protocolo imediata sobre as réplicas dos implantes transferidas em modelo de trabalho de gesso especial montado em "ASA"
|
|
VISTA OCLUSAL
|
|
| |
|
 |
Protocolo inferior sobre modelo em articulador
|
|
|
|
|

|
Protocolo inferior sobre modelo em articulador
|
|
|
|
|

|
Detalhe da personalização com apinhamento ântero - inferior
|
|
|
|
|
|
|

|
|
|
|
|
|
|
|

|
|
|
|

|
|
|
Próteses antagonistas articuladas
|
Próteses antagonistas articuladas
|
|
|
|

|
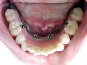
Prótese protocolo de carga imediata instalada direta sobre os implantes osteointegráveis. Observem-se os parafusos de fixação assentados nos orifícios da barra metálica
|
|
VISTA OCLUSAL (BOCA)
|
|
|
|
|

|
Aspecto final das prótese com gengivas artificiais caracterizadas (movimentos mastigatórios)
|
|
VIDEO
|
|
|
|
|

|
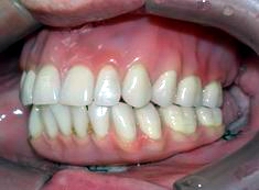
Aspecto após instalação das próteses
|
|
|
|
|
|

|
Prótese superior
|
|
|
|
|

|
Prótese superior (Vista Oclusal)
|
|
|
|
|

|
Ângulo especial
|
|
|
|
|
|
|

|
|
|
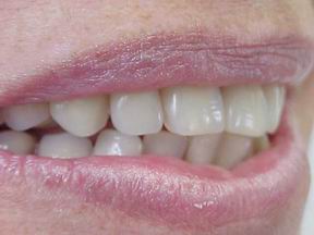
SORRISO NATURAL DA FILHA
|
SORRISO REABILITADO DA MÃE
|
|
|
|

|
|
|
DENTIÇÃO NATURAL (FILHA)
|
PROVA DE ARTICULAÇÃO (MÃE)
|
Planejamento multidisciplinar cirúrgico e protético, articulação/escultura e execução de todas as fases deste tratamento realizados pelo Dr. Amilcar Fernandes Neto
Movimentos de abertura e fechamento com grande precisão articular entre arcos antagonistas (dentadura superior e prótese aparafusada sobre implantes inferiores). Caso apresentado no site: www.odontologiaestetica.com.br (protocolo em função mastigatória). Observem-se os pontos cirúrgicos ainda presentes (em preto) abaixo da prótese inferior, denotanando a condição de submissão dos implantes ao carregamento imediato.
Link de acesso direto(more details): http://www.odontologiaestetica.com.br/antesdepois2.php?ID=88
Consultas (make you appointment) com o autor: Curitiba-PR- Brasil: 41 3324-3334 e Santo Antônio da Platina-PR: 43 3534-1475.
Caso clinico programmato e trattati come se avessero un orientamento guida il sorriso odontoiatria estetica e l'articolazione di una figlia del paziente. Il criterio per la selezione di denti artificiali si trattava di valutare la somiglianza fenotipica tra i due. Le fasi di montaggio dei denti delle prove ha seguito la tecnica di protesi Precisione record, eliminando così la normale usura occlusale durante l'installazione della protesi, preservando l'anatomia e l'efficienza occlusale masticatorio. Tempo tra chirurgia e protesi di installazione dell'impianto: 30 ore.
Klinischer Fall behandelt werden, als geplant und mit einer Orientierungshilfe der ästhetischen Zahnheilkunde Lächeln und die Artikulation einer Tochter des Patienten. Das Kriterium für die Auswahl der künstlichen Zähne war die Beurteilung der phänotypischen Ähnlichkeit zwischen den beiden. Die Montage Phasen der Zähne von Beweismitteln folgten die Technik der Datensätze Genauigkeit Zahnersatz, wodurch die übliche okklusaler Abnutzung während der Installation der Prothese, die Erhaltung der Anatomie und okklusalen Kau-Effizienz. Die Zeit zwischen Operation und Implantat-Prothese Installation: 30 Stunden.
Клінічны выпадак запланаваных і разглядаецца як мае арыентацыю кіраўніцтва эстэтычнай стаматалогіі усмешкай і артикуляция дачка пацыента. Крытэрый адбору штучных зубоў ацэнкі фенотипического падабенства паміж імі. Мантаж этапах зубы доказаў пасля тэхніку пратэзаў Дакладнасць запісы, такім чынам устараніўшы звычайны знос жавальная пры ўстаноўцы пратэзы, захоўваючы анатоміі і жавальная жавальная эфектыўнасці. Час паміж аперацыю і імплантавалі пратэзы ўстаноўкі: 30 гадзін.
Клиничен случай планирани и третирани като една ориентация ръководство на естетичната стоматология усмивка и формирането на дъщерята на пациента. Критерият за избор на изкуствени зъби е оценката на фенотипна прилика между двете. Събранието фази на зъбите на доказателства последва техника на протезата записа Точност, по този начин премахването на обичайната носят оклузалния по време на инсталацията на протези, запазване на анатомията и оклузалната дъвкателната ефективност. Време между хирургия и имплантиране инсталация протеза: 30 часа. Klinichen sluchaĭ planirani i tretirani kato edna orientatsiya rŭkovodstvo na estetichnata stomatologiya usmivka i formiraneto na dŭshteryata na patsienta. Kriteriyat za izbor na izkustveni zŭbi e otsenkata na fenotipna prilika mezhdu dvete. Sŭbranieto fazi na zŭbite na dokazatelstva posledva tekhnika na protezata zapisa Tochnost, po tozi nachin premakhvaneto na obichaĭnata nosyat okluzalniya po vreme na instalatsiyata na protezi, zapazvane na anatomiyata i okluzalnata dŭvkatelnata efektivnost. Vreme mezhdu khirurgiya i implantirane instalatsiya proteza: 30 chasa.
الحالة السريرية المخططة وتعامل على أنها دليل وجود اتجاه الابتسامة طب الأسنان الجمالية والتعبير عن ابنه المريض. وكان المعيار لاختيار أسنان اصطناعية تقييم المظهري تشابه بين الاثنين. وجاءت مراحل التجميع للأسنان الأدلة تقنية أسنان دقة السجلات ، وبالتالي القضاء على ارتداء الإطباقية المعتاد خلال تركيب الطرف الاصطناعي ، والحفاظ على كفاءة المضغ التشريح والإطباق. الوقت بين عملية جراحية وزرع تركيب الأطراف الصناعية : 30 ساعة.
Cas clinique planifié et considéré comme ayant une orientation guide le sourire dentisterie esthétique et l'articulation d'une fille de la patiente. Le critère de sélection des dents artificielles a été l'évaluation de la ressemblance phénotypique entre les deux. Le montage de dents dans la phase de test a suivi la précision technique des enregistrements dans les prothèses dentaires, éliminant ainsi l'usure occlusale d'habitude lors de l'installation de la prothèse, la préservation de l'occlusion anatomie et l'efficacité de mastication. Délai entre la chirurgie et l'installation prothèse sur implant: 30 heures.
Klinischer Fall behandelt werden, als geplant und mit einer Orientierungshilfe der ästhetischen Zahnheilkunde Lächeln und die Artikulation einer Tochter des Patienten. Das Kriterium für die Auswahl der künstlichen Zähne war die Beurteilung der phänotypischen Ähnlichkeit zwischen den beiden. Die Montage Phasen der Zähne von Beweismitteln folgten die Technik der Datensätze Genauigkeit Zahnersatz, wodurch die übliche okklusaler Abnutzung während der Installation der Prothese, die Erhaltung der Anatomie und okklusalen Kau-Effizienz. Die Zeit zwischen Operation und Implantat-Prothese Installation: 30 Stunden.
Клинический случай запланированных и рассматривается как имеющий ориентацию руководства эстетической стоматологии улыбкой и артикуляция дочь пациента. Критерий отбора искусственных зубов оценки фенотипического сходства между ними. Монтаж этапах зубы доказательств после технику протезов Точность записи, таким образом устраняя обычный износ жевательной при установке протеза, сохраняя анатомии и жевательных жевательной эффективности. Время между операцию и имплантировать протез установки: 30 часов.
Klinicheskiĭ sluchaĭ zaplanirovannyh i rassmatrivaet·sya kak imyeyushchiĭ orientatsiyu rukovodstva esteticheskoĭ stomatologii ulybkoĭ i artikulyatsiya dochʹ patsienta. Kriteriĭ otbora iskusstvennyh zubov otsenki fenotipicheskogo shodstva mezhdu nimi. Montazh etapah zuby dokazatelʹstv posle tehniku protezov Tochnostʹ zapisi, takim obrazom ustranyaya obychnyĭ iznos zhevatelʹnoĭ pri ustanovke proteza, sohranyaya anatomii i zhevatelʹnyh zhevatelʹnoĭ effektivnosti. Vremya mezhdu operatsiyu i implantirovatʹ protez ustanovki: 30 chasov.
|