|
As fotos a seguir ilustram comparações de diferentes estágios do tratamento, sem expressar sua ordem cronológica. Para satisfazer essa necessidade, criamos a sessão REVISTA ELETRÔNICA*(em construção), onde se encontrarão casos clínicos com maior requinte de detalhes(*recomendada para estudantes e profissionais da área odontológica):
|
|
|
|
|
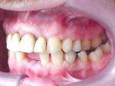
ANTES
|
DEPOIS
|
| |
|
|

|
|
Vista Lateral Direita (ANTES)
|
Vista Lateral Esquerda (ANTES)
|
| |
|

|
|
|
Preparação para instalação do "aparelho ortodôntico" (canino reconstruído em resina rápida autopolimerizável, retida por fio metálico sobre raiz residual)
|
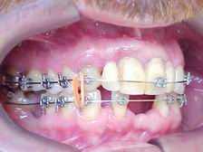
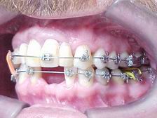
Início do tratamento ortodôntico. Com a extrusão do canino estaremos induzindo ao nivelamento ósseo para a instalação de implante nesse local.
|
| |
|

|
|
|
Evolução no nivelamento do canino
|
Lado oposto
|
| |
|

|
|
|
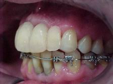
Extrusão completa do canino reanatomizado trans-cirurgicamente
|
Lado esquerdo: Alinhamento e nivelamento em evolução
|
| |
|

|

|
|
Munhões sobre réplicas dos implantes
|
Provisórios imediatos sobre implantes
|
| |
|

|

|
|
Provisórios imediatos sobre implantes
|
Provisórios estéticos guia anatômico
|
| |
|

|

|
|
Provisórios estéticos guia anatômico VISTA LATERAL DIREITA
|
Provisórios estéticos guia anatômico VISTA LATERAL ESQUERDA
|
|

|
|
Prova da cerâmica sem glaze VISTA LATERAL DIREITA
|
Aspecto final após glazeamento da cerâmica e remoção do aparelho ortodôntico
|
|
|

|

|
|
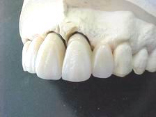
Munhões personalizados
|
Prótese metalocerâmica personalizada
|
| |
|

|

|
|
Munhões personalizados
|
Prótese metalocerâmica personalizada
|
| |
|

|
|
|
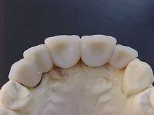
Munhões personalizados sobre modelo VISTA OCLUSAL
|
Prótese metalocerâmica personalizada VISTA OCLUSAL
|
| |
|

|
|
|
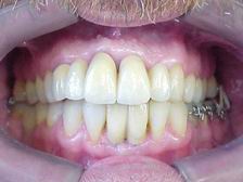
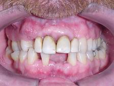
Vista oclusal (imagem refletida no espelho) anterior ao ínicio do tratamento
|
Prótese metalocerâmica personalizada (projeto funcional) sendo provada na boca
|
|
|

|

|
|
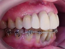
Provisórios estéticos (vista direita)
|
Provisórios estéticos (vista esquerda)
|
|
|

|

|
|
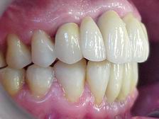
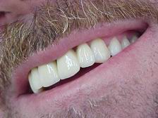
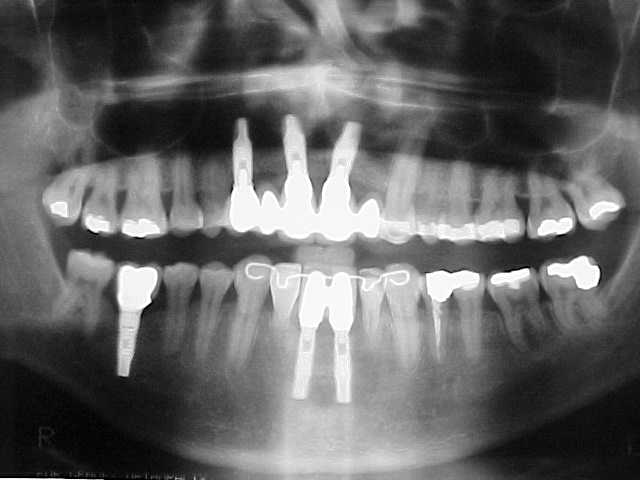
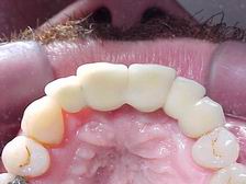
Metalocerâmica sobre implantes (CONCLUÍDO)
|
Metalocerâmica sobre implantes (CONCLUÍDO)
|
| |
|
|

|

|
|
Modelos de estudo antes do tratamento
|
Modelos em gesso após o tratamento
|
| |
|
|

|

|
|
Modelos de estudo antes do tratamento
|
Modelos em gesso após o tratamento
|
| |
|
|

|

|
|
Modelos de estudo antes do tratamento
|
Modelos em gesso após o tratamento
|