| Caso planejado para implantes bi-maxilares. A arcada inferior apresentou condições para receber "carga imediata" sobre os implantes "GT"(lançado em meados de 2005). Os implantes da maxila foram instalados em setembro de 2005 e aguardaram o período de 4 meses para osseointegração dos implantes. A protocolo inferior foi realizada 3 semanas antes da segunda cirurgia. |
| |
| |
|
 |
 |
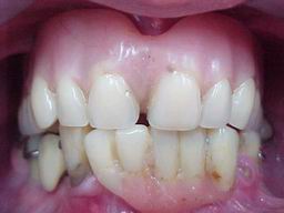
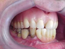
| ANTES |
DEPOIS |
| |
|
 |
 |
| Avaliação do espaço disponível para confecção da "Protocolo" inferior |
Protocolo inferior com dentes montados em cera para prova de articulação |
| |
|
 |
 |
| Avaliação do espaço disponível para confecção da "Protocolo" inferior |
Protocolo inferior com dentes montados em cera para prova de articulação |
| |
|
 |
 |
| Vista lateral direita |
Vista lateral esquerda |
| |
|
 |
 |
|
Superior: Ensaio em cera Inferior: Montagem em cera sobre barra fundida (Ver fotos).
|
Dentadura provisória superior confeccionada a partir da reprodução do "ensaio" em cera. |
| Enxerto gen |
 |
 |
| ANTES |
Dentadura provisória superior confeccionada a partir da reprodução do "ensaio" em cera. |
| Enxerto gen |
 |
 |
| ANTES |
Dentadura provisória superior confeccionada a partir da reprodução do "ensaio" em cera. |
| Enxerto gen |
 |
 |
| ANTES |
DEPOIS (Aspecto estético melhorado com provisória superior) |
| |
 |
 |
| ANTES |
DEPOIS |
| |
|
 |
 |
| ANTES |
DEPOIS |
| |
|
 |
 |
| Preparação para moldagem |
Cicratizadores após reabertura dos implantes superiores |
| |
|
 |
 |
| Modelo de trabalho |
Protocolo superior montada em cera |
| Veja seqüência completa (ver fotos) |
| |
|
 |
 |
ANTES (Protocolo superior em cera) |
DEPOIS (Protocolo superior acrilizada) |
| |
|
 |
 |
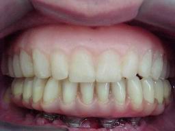
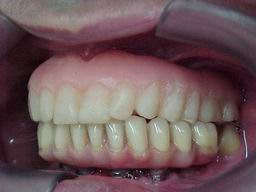
| Caso finalizado |
Caso finalizado |
| |
|
 |
 |
| Caso finalizado |
Caso finalizado |
| |
|
 |
 |
| Caso finalizado |
Caso finalizado |
| |
|
|
|
| |
|
| |
|
 |
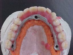
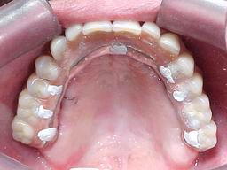
Vista oclusal da "Protocolo" superior finalizada |
| |
|
 |
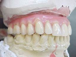
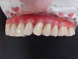
Vista frontal da "Protocolo" superior finalizada |
| |
|
 |
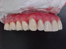
Vista superior da "Protocolo" superior finalizada |
| |
|
 |
Detalhe interno (antes da acrilização) |
| |
|
 |
Aparafusamento provisório na boca |
| |
|
|

|
Guias Estético e Cirúrgico-Tomográfico
Dentadura Superior Provisória
|
| |
|
|

|
Guia Tomográfico (Vista Lateral)
|
| |
|
|

|
Guia Tomográfico (Vista Interna)
|
| |
|
|

|
Guia Cirúrgico-Tomográfico (Vista Interna)
|
| |
|
|

|
Guia Cirúrgico-Tomográfico (Vista Oclusal)
|
| |
|
|

|
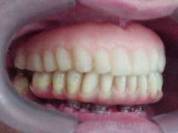
Controle após 7 meses: Observar saúde dos tecidos e qualidade da higienização.
|
| |
|
|

|
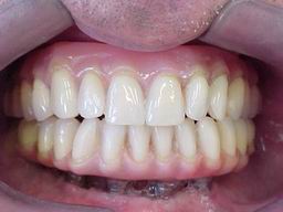
Aspecto estético mantido.
|
| |
|
|

|
Detalhes de caracterização preservados após 7 meses
|
Articulação dentária, planejamento e execução realizados pelo Dr. Amilcar Fernandes da Silva Neto |