| Apresentamos um caso em tratamento com implantes: Fases pré e pós-cirúrgica, utilizando Provisórios Estéticos. Tratamento Reabilitador completo da arcada superior (por opção da cliente) |
 |
 |
| Antes: Ponte Fixa Provisória com deficiências estruturais e estéticas |
Depois: Prótese Provisória com estrutura e estética aceitáveis |
| |
|
 |
 |
| Início da construção laboratorial das provisórias estéticas |
Escolha dos modelos de dentes para confecção da ponte fixa provisória |
| |
| |
 |
 |
| Antes: Reprodução dos preparos e articulação entre arcadas (Idem foto acima) |
União das facetas de estoque em resina acrílica |
| |
| |
 |
 |
Fim da construção dos Provisórios Estéticos |
Provisórios Estéticos em maior aumento |
| |
| |
 |
 |
| Antes: Ponte Fixa Provisória com deficiências estruturais e estéticas |
Depois: Prótese Provisória com estrutura e estética aceitáveis |
| |
| |
 |
 |
Antes: Ponte Fixa Provisória com deficiências estruturais e estéticas (lado direito) |
Depois: Prótese Provisória com estrutura e estética aceitáveis (lado direito) |
| |
| |
 |
 |
Antes: Ponte Fixa Provisória com deficiências estruturais e estéticas (frente) |
Depois: Prótese Provisória com estrutura e estética aceitáveis (frente) |
| |
| |
 |
 |
Antes: Ponte Fixa Provisória com deficiências estruturais e estéticas (lado esquerdo) |
Depois: Prótese Provisória com estrutura e estética aceitáveis (lado esquerdo) |
| |
| |
 |
 |
Antes: Ponte Fixa Provisória com deficiências estruturais e estéticas (vista oclusal) |
Depois: Prótese Provisória com estrutura e estética aceitáveis (vista oclusal) |
| |
 |
 |
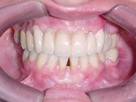
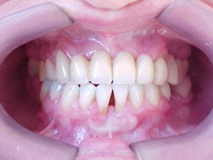
| Diastema (Antes da correção ortodôntica) |
Diastema (Após da correção ortodôntica) |
| |
| |
 |
 |
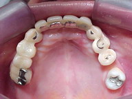
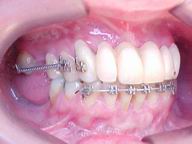
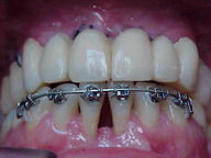
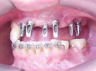
Provisória superior após cirurgia de instalação dos implantes e aparelho fixo inferior (vista lateral) |
Provisória superior após cirurgia de instalação dos implantes e aparelho fixo inferior (vista frontal) |
| |
 |
 |
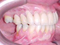
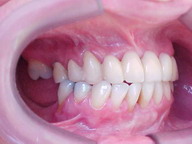
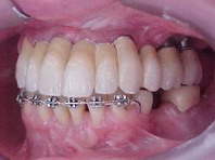
Resultado parcial do tratamento após 4 meses (vista lateral direita) |
Resultado parcial do tratamento após 4 meses (vista frontal) |
| |
| |
 |
 |
| Diastema (Antes da correção ortodôntica) |
Diastema (Após da correção ortodôntica) |
| |
 |
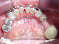
| Vista oclusal da arcada inferior com aparelho fixo e ancoragem metálica lingual |
| |
 |
 |
| Antes: Provisórios originais* em Resina (*como se apresentou antes do tratamento) |
Depois: Próteses fixas Metalo-Cerâmicas |
| |
 |
 |
| Antes: Provisórios Novos |
Depois: Metalo-Cerâmica (PORCELANA DENTAL) |
| |
 |
 |
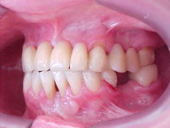
| Antes: Provisórios originais* em Resina (*como se apresentou antes do tratamento) |
Depois: Caso totalizado com as Próteses cimentadas sobre os implantes |
| |
 |
 |
| Antes: Provisórios originais* em Resina (*como se apresentou antes do tratamento) |
Depois: Caso totalizado com as Próteses cimentadas sobre os implantes |
| |
 |
 |
| Antes: Provisórios originais* em Resina (*como se apresentou antes do tratamento) |
Depois: Caso totalizado com as Próteses cimentadas sobre os implantes |
| |
 |
 |
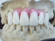
| Próteses Metalo-Cerâmicas cimentadas sobre raízes naturais |
Caso totalizado com as Próteses cimentadas sobre os implantes |
| |
 |
 |
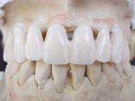
| Próteses Metalo-Cerâmicas cimentadas sobre raízes naturais |
Caso totalizado com as Próteses cimentadas sobre os implantes |
| |
 |
 |
| Próteses Metalo-Cerâmicas cimentadas sobre raízes naturais |
Caso totalizado com as Próteses cimentadas sobre os implantes |
| |
| ÂNGULOS ESPECIAIS |
| |
|
 |
 |
| |
|
 |
 |
| |
|
 |
 |
| |
 |
 |
| |
| |
As articulações dentárias*, planejamento e execução de todas as fases do caso apresentado nesta página , inclusive o tratamento ortodôntico, foram realizados pelo Dr. Amilcar Fernandes da Silva Neto.
(*montagem laboratorial dos provisórios ilustrados acima)
|