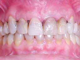
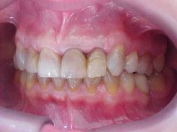
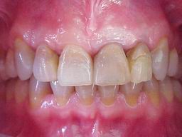
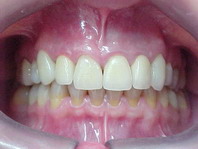
Caso preparado para Facetas Cerâmicas: Cirurgia Periodontal Estética para aumento de coroas clínicas (pré e pós-cirúrgico do "alongamento dental") Diagnóstico: Escurecimento severo por tetraciclina |
| Enxerto gen |
 |
 |
| ANTES |
DEPOIS |
| Enxerto gen |
 |
 |
| ANTES |
DEPOIS |
| Enxerto gen |
 |
 |
| ANTES |
DEPOIS |
| Enxerto gen |
 |
 |
| ANTES |
DEPOIS |
| Enxerto gen |
 |
 |
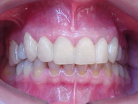
| Dentes Escurecidos |
Provisórios em Resina |
| Enxerto gen |
 |
 |
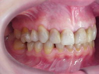
| Dentes Escurecidos |
Facetas Cerâmicas |
| Enxerto gen |
 |
 |
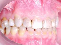
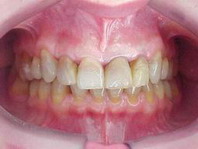
| Dentes Escurecidos |
Provisórios |
| Enxerto gen |
 |
 |
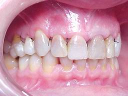
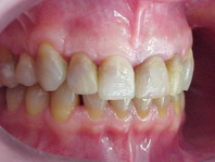
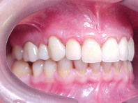
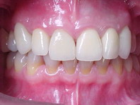
| Dentes Escurecidos |
Facetas Cerâmicas |
| Enxerto gen |
 |
 |
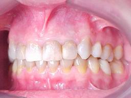
| Dentes Escurecidos |
Facetas Cerâmicas |
| Enxerto gen |
 |
Facetas Cerâmicas
(close frontal)
|
| |
|
| Enxerto gen |
 |
Facetas Cerâmicas
(close lateral)
|
| |
|
| Enxerto gen |
 |
Aspecto final após a finalização |
| |
|
| |
Planejamento e execução: Dr. Amilcar Fernandes Neto. |