|
|
|
|
 |
|
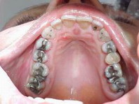
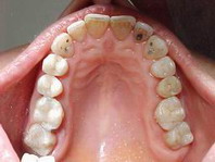
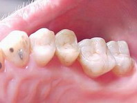
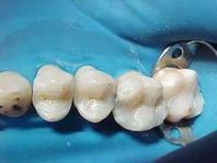
| Reabilitação Estética por substituição de restaurações em amálgama de prata por Inlays Artglass. |
| |
| |
 |
 |
| ANTES |
DEPOIS |
| Enxerto gen |
 |
 |
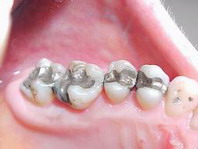
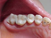
| ANTES |
DEPOIS |
| |
 |
 |
| ANTES |
DEPOIS |
| |
|
 |
 |
| ANTES |
DEPOIS |
| |
|
 |
Arcada inferior reabilitada 10 anos antes com Dentacolor. (Foto: Outubro/2005) |
| |
|
Trabalhos executados pelo Dr. Amilcar Fernandes Neto |
|
    |
|
|
|
|
|