|
|
|
|
 |
|
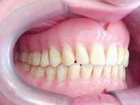
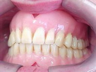
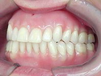
| Reabilitação Estética por substituição de dentaduras antigas |
| |
| |
 |
 |
| ANTES |
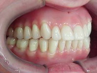
DEPOIS |
| Enxerto gen |
 |
 |
| ANTES |
DEPOIS |
| |
 |
 |
| ANTES |
DEPOIS |
| |
|
 |
 |
| ANTES |
DEPOIS |
| |
|
 |
 |
| ANTES |
DEPOIS |
| |
|
 |
 |
| ANTES |
DEPOIS |
| |
|
 |
 |
| ANTES |
DEPOIS |
| |
|
 |
 |
| ANTES |
DEPOIS |
| |
|
|
|
| Tratamento Concluído |
| |
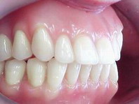
| Ângulos Especiais: |
 |
Close |
| |
|
| |
|
 |
Close |
| |
|
| |
|
 |
Gengivas Artificiais Caracterizadas |
| |
|
Articulação dentária, planejamento e execução realizados pelo Dr. Amilcar Fernandes da Silva Neto |
|
    |
|
|
|
|
|