12 de março de 2026, 05:22 Busca no site:
 
 





Voltar
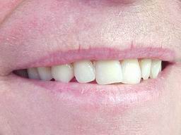
Reabilitação do sorriso sob orientação de "arquivo fotográfico". A paciente apresentou uma fotografia de seu sorriso natural em sua adolescência. A partir da análise do sorriso original foram coletados  "dados informativos", como: Modelo ideal dos dentes artificiais e articulação dentária segundo o padrão facial.
Enxerto
Sorriso "Adolescente" Prova de Articulação
 
 
ANTES DEPOIS
Enxerto gen
ANTES DEPOIS
 
ANTES DEPOIS
   
ANTES DEPOIS
   
ANTES DEPOIS
   
Sorriso "Adolescente" Sorriso Reabilitado
Articulação dentária, planejamento e execução realizados
 pelo Dr. Amilcar Fernandes da Silva Neto