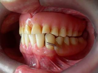
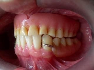
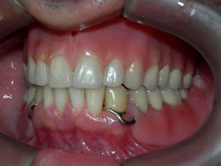
Caso clínico planejado e tratado para reestabelecer a harmonia facial e recomposição do padrão articular observando critérios estéticos da análise facial. A "gengiva artificial" foi prensada com resina modificada para dar efeitos semelhantes à gengiva natural.
|
|
|

|
|
|
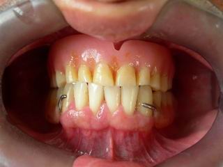
ANTES
|
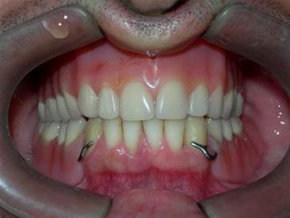
DEPOIS
|
|
|
|

|

|
|
ANTES
|
DEPOIS
|
| |
|

|

|
|
ANTES
|
DEPOIS
|
| |
|

|
|
|
ANTES
|
DEPOIS
|
|
|
|

|
|
|
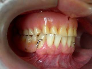
VISTA DIREITA EM CLOSE
|
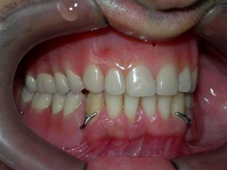
VISTA ESQUERDA EM CLOSE
|
|
|
|

|

|
|
ANTES
|
DEPOIS
|
| |
|

|
|
|
ANTES
|
DEPOIS
|
| |
|

|
|
|
ANTES
|
DEPOIS
|
Planejamento, articulação/escultura e execução deste tratamento realizados pelo Dr. Amilcar Fernandes Neto
|