Caso clínico reabilitado estética e funcionalmente por próteses totais bimaxilares em paciente oriental classe lll esquelética*
*Diagnóstico preliminar: Paciente apresenta protrusão mandibular induzida por articulação deficiente da prótese antiga, devido aos desgastes e indefinição articular entre ambas, além da própria tendência manifestada pelo padrão racial.
Plano de tratamento: Confecção de próteses totais em articulação em classe I dentária, na intenção de promover, além do reestabelecimento funcional, a reversão do vício à indução do posicionamento mandibular em posição anterior. Isso se consegue graças à boa articulação entre os elementos antagonistas, assim como ao bom posicionamento mandibular durante a fase do registro da dimensão vertical sobre rodetes de cera.
|

|

|
|
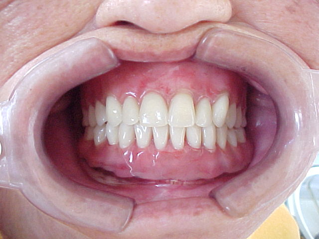
ANTES
|
PROVISÓRIAS IMEDIATAS
|
| |
|
|

|

|
|
ANTES
|
APÓS CONCLUSÃO
|
| |
|
|

|

|
|
ANTES
|
APÓS CONCLUSÃO
|
| |
|
|

|

|
|
ANTES
|
APÓS CONCLUSÃO
|
| |
|
|

|
|
|
ANTES
|
APÓS CONCLUSÃO
|
| |
|
|
|
|
|

|

|
|
ANTES
|
APÓS CONCLUSÃO
|
| |
|
| |
|
|

|

|
|
ANTES
|
APÓS CONCLUSÃO
|
| |
|
|

|

|
|
ANTES
|
APÓS CONCLUSÃO
|
| |
|
|

|

|
|
ANTES
|
APÓS CONCLUSÃO
|
| |
|
| |
|
|

|
 |
|
ANTES
|
APÓS
|
|
|
|
| |
|
|

|

|
|
ANTES
|
APÓS
|
| |
|
| |
|
|

|
|
|
|
|
O Planejamento e as articulações dentárias (montagem laboratorial) do caso apresentado nesta página foram realizadas pelo Dr. Amilcar Fernandes da Silva Neto.
|