| |
|
| |
|
 |

|
|
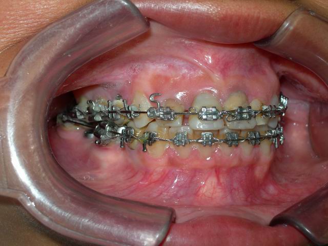
Tratamento ortodôntico prévio (vista frontal)
|
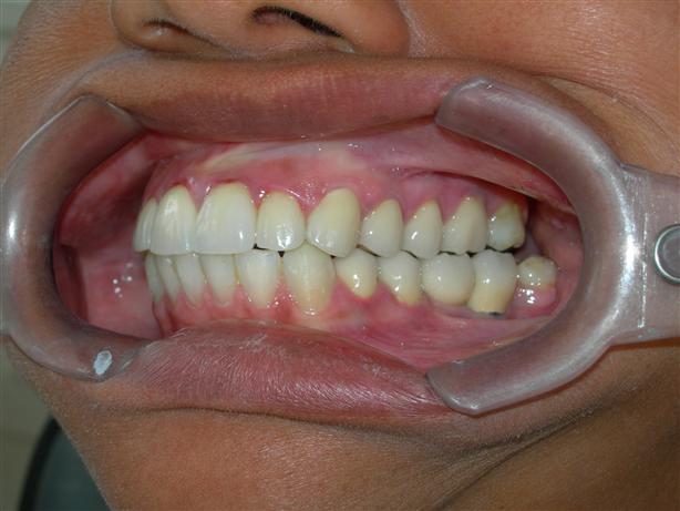
Caso concluído com próteses
metalocerâmicas cimentadas
|
|
|
|
| |
|
| |
|
|

|

|
|
Tratamento ortodôntico prévio (vista lateral direita)
|
Caso concluído com próteses metalocerâmicas cimentadas
|
| |
|
| |
|
| |
|
|

|

|
|
Tratamento ortodôntico prévio (vista lateral esquerda)
|
Caso concluído com próteses metalocerâmicas cimentadas
|
| |
|
| |
|
| |
|
|

|

|
|
Tratamento ortodôntico prévio (vista frontal)
|
Caso concluído com próteses metalocerâmicas cimentadas
|
|
|
|
| |
|
|

|

|
Tratamento ortodôntico prévio (perfil direito) |
Caso concluído com próteses metalocerâmicas cimentadas |
| |
|
| |
|
| |
|
|

|

Caso concluído com próteses metalocerâmicas cimentadas
|
|
Tratamento ortodôntico prévio (perfil direito)
|
|
| |
|
| |
|
| |
|
|

|

|
|
Início da fase reabilitadora, após conclusão do alinhamento e nivelamento ortodôntico: preparo inicial para confecção de núcleos metálicos em dentes naturais desvitalizados (tratados endodonticamente)
|
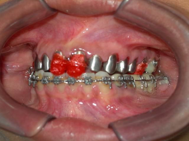
Provisórios superiores com dentes de estoque acrílicos após preparos (degastes) protéticos
|
| |
|
| |
|
| |
|
|

|

|
|
Provisórios superiores com dentes de estoque acrílicos após preparos (degastes) protéticos
|
Caso concluído com próteses metalocerâmicas cimentadas
|
| |
|
| |
|
| |
|
|

|
Modelo de trabalho troquelado sobre o qual se confeccionam os "dentes artificiais" sob medida
|
| |
|
| |
|
| |
|
|

|

|
|
Arcada superior preparada e arco inferior com aparelho ortodôntio instalado, com a funcão de contenção enquanto aguarda o momento da intervenção reabilitadora
|
Copings metálicos antes da adição de massa cerâmica
|
| |
|
| |
|
| |
|
|

|

|
|
Modelo de transferência após aplicação/modelagem cerâmica sobre copings (vista direita)
|
Modelo de transferência após aplicação/modelagem cerâmica sobre copings (vista esquerda)
|
| |
|
| |
|
| |
|
|

|

|
|
Modelo troquelado e copings antes da construção cerâmica
|
Modelo de transferência com cerâmica aplicada pronta para a prova e ajustes em boca
|
| |
|
| |
|
| |
|
|

|
Conferência da articulação cerâmica sobre modelos: de troquéis e antagonista
|
| |
|
| |
|
| |
|
|

|

|
|
Modelo de trabalho troquelado sobre o qual se confeccionam os "dentes artificiais" sob medida
|
Modelo troquelado e copings antes da construção cerâmica (vista oclusal)
|
| |
|
| |
|
| |
|
|

|

|
|
Imagem especular da maxila em fase prévia aos desgastes de preparação protética
|
Modelo troquelado e copings antes da construção cerâmica (vista oclusal)
|
| |
|
| |
|
| |
|
|

|

|
|
Modelo troquelado e copings antes da construção cerâmica (vista oclusal)
|
Modelo troquelado e dentes metalocerâmicos ajustados (vista oclusal)
|
| |
|
| |
|
| |
|
|

|

|
|
Fase de prova em boca e transferência dos copings metálicos para modelo de trabalho para adição de porcelana dental (vista lateral direita)
|
Caso finalizado com cerâmica aplicada em ambas as arcadas
|
| |
|
| |
|
| |
|
|

|

|
|
Fase de prova em boca e transferência dos copings metálicos para modelo de trabalho para adição de porcelana dental (vista frontal)
|
Caso finalizado com cerâmica aplicada em ambas as arcadas (vista frontal)
|
| |
|
| |
|
| |
|
|

|

|
|
Fase de prova em boca e transferência dos copings metálicos para modelo de trabalho para adição de porcelana dental (vista lateral esquerda)
|
Caso finalizado com cerâmica aplicada em ambas as arcadas (vista lateral esquerda)
|
| |
|
| |
|
| |
|
|
ÂNGULOS
|
ESPECIAIS
|
|

|
Vista frontal
|
| |
|
| |
|
|

|
Vista lateral direita
|
| |
|
| |
|
|

|
Vista lateral esquerda
|
|
|
|
| |
|
| |
|
|

|
Equilíbrio e harmonia facial reestabelecidos
|
| |
|
| |
|
| |
|
|

|
|
| |
|
| |
|
| |
|
|

|
|
| |
|
| |
|
| |
|
|

|
"Close" direito
|