|
|
|

|

|
|
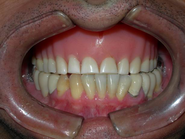
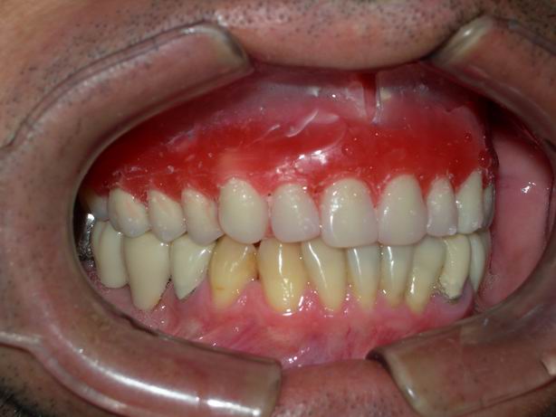
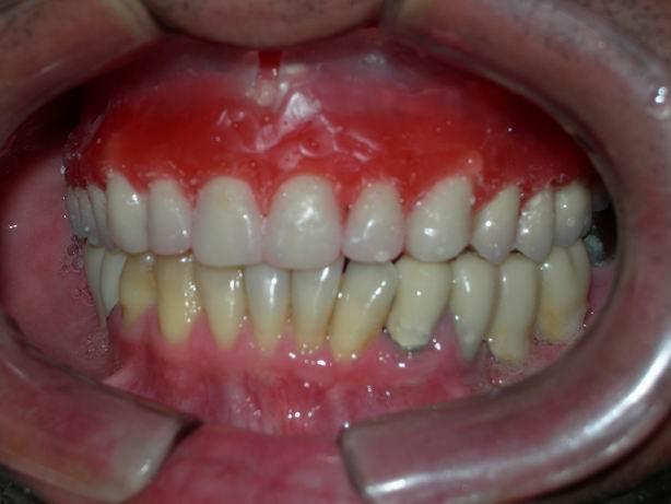
ANTES
|
APÓS |
| |
|
 |
 |
|
Prótese antiga
|
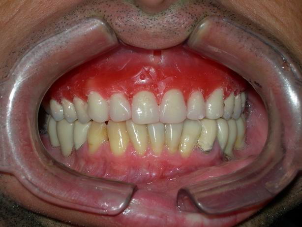
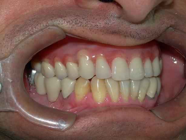
Prótese atual em construção
|
| |
|
|

|

|
|
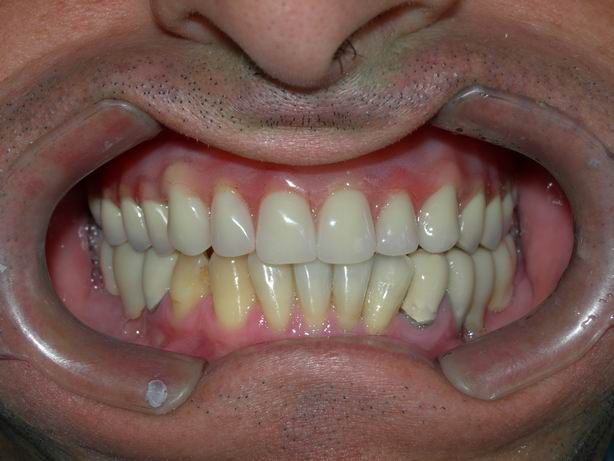
Prótese atual em construção
|
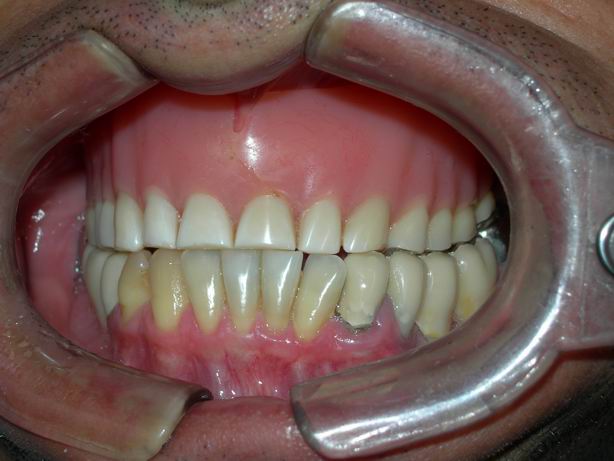
Prótese atual concluída
|
| |
|
|

|

|
|
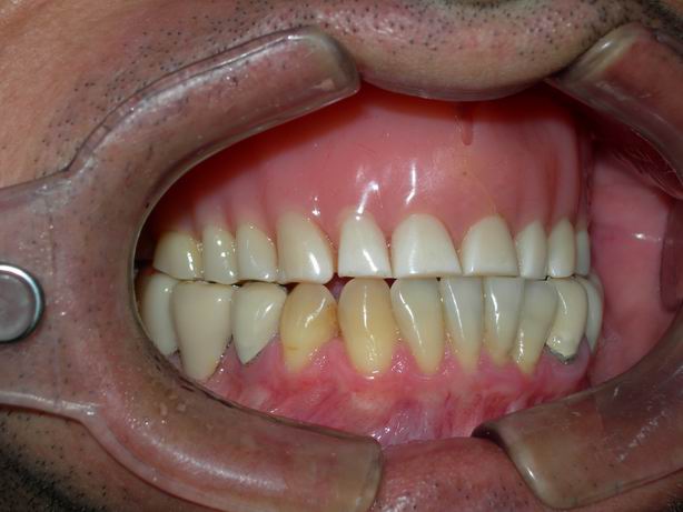
ANTES
|
Prótese atual em construção
|
| |
|
 |
 |
| Prótese atual em construção |
Prótese atual concluída
|
| |
|
 |

|
| Prótese antiga |
Prótese atual em construção |
| |
|
 |
 |
|
Prótese atual em construção
|
Prótese atual concluída
|
| |
|
|

|

|
|
Fase laboratorial: Articulação vista direita
|
Fase laboratorial: Articulação vista esquerda
|
| |
|
|

|
Fase laboratorial: Articulação vista oclusal
|
| |
|
|
Articulação dentária, planejamento e execução realizados pelo Dr. Amilcar Fernandes da Silva Neto
|