|

|

|
|
Avaliação do espaço protético
|
Prova de articulação em cera
|
|
|
|
|

|

|
|
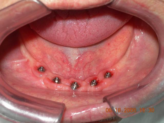
Cinco implantes em região anterior de mandíbula
|
Cinco implantes em região anterior de mandíbula X prótese total superior
|
|
|
|
|

|

|
|
Avaliação sobre modelo de trabalho
|
Avaliação das próteses em boca
|
|
|
|
|

|

|
|
Avaliação sobre modelo de trabalho
|
Avaliação das próteses em boca
|
|
|
|
|

|

|
|
Prova de articulação em cera
|
Prova de articulação com trabalhos finalizados
|
|
|
|
|
|
|
|

|

|
|
Avaliação sobre modelo de trabalho
|
Avaliação das próteses em boca
|
|
|
|
|

|

|
|
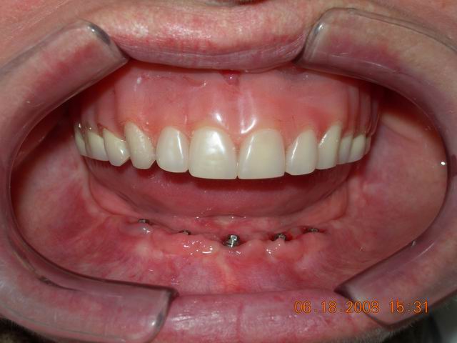
Protocolo inferior em articulação com prótese total superior
|
Confirmação do resultado
|
|
|
|
|

|

|
|
Protocolo inferior em articulação com prótese total superior
|
Confirmação do resultado
|
|
|
|
|

|

|
|
Provisória inferior em articulação com prótese total superior
|
Protocolo inferior em articulação com prótese total superior
|
|
|
|
|

|
Confirmação do resultado
|
|
|
|
|

|

|
|
Aspecto de sorriso natural
|
Aspecto de sorriso natural
|