12 de março de 2026, 05:30
Busca no site:
Interna
Google
Voltar
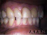
ANTES
DEPOIS
Incisivos centrais restaurados por FACETAS CERÂMICAS