|
|
|
|
 |
|
| Reabilitação Estética por substituição de dentadura superior antiga |
| |
| |
 |
 |
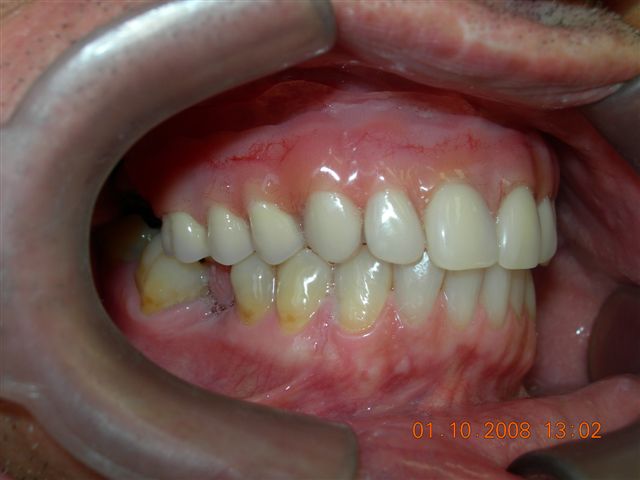
| ANTES |
APÓS |
| Enxerto gen |
 |
 |
| ANTES |
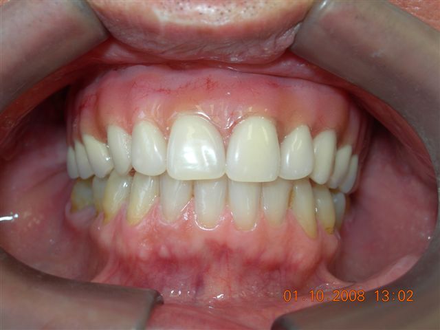
APÓS |
| |
 |
 |
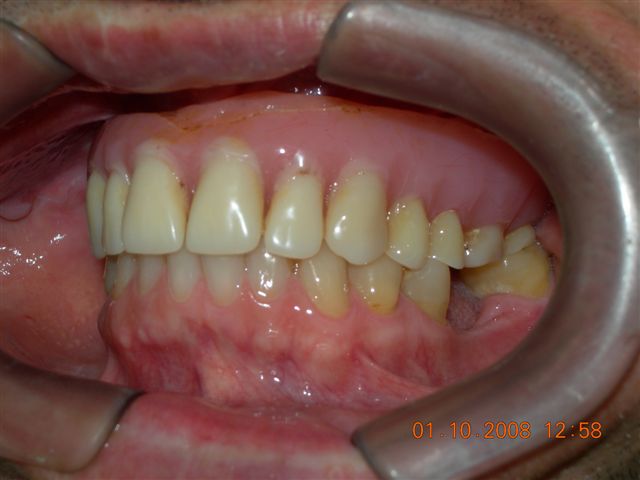
| ANTES |
APÓS |
| |
|
 |
 |
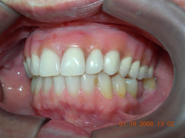
| ANTES |
APÓS |
| |
|
 |
 |
| ANTES |
APÓS |
| |
|
 |
 |
| ANTES |
APÓS |
| |
|
 |
 |
| ANTES |
APÓS |
| |
|
| |
|
|
|
| Tratamento Concluído |
| |
| Ângulos Especiais: |
 |
Close |
| |
|
| |
|
 |
Close |
| |
|
 |
|
Articulação dentária, planejamento e execução realizados pelo Dr. Amilcar Fernandes da Silva Neto |
|
    |
|
|
|
|
|