Caso de reabilitação estética e funcional complexa por meio de um sistema de PROTOCOLO EM METALO-CERÂMICA com dentes separados, cimentados individualmente e apoiados sobre seis implantes em maxila, com gengiva artificial caracterizada em resina acrílica termopolimerizável.
Diagnóstico preliminar das principais ocorrências: Prótese total na maxila em articulação com dentição natural inferior, apresentando acentuado trespasse horizontal (mordida profunda) e inclinações linguais generalizadas, com ausência do primeiro molar inferior esquerdo.
Plano de tratamento: 1) Tratamento ortodôntico para a mandíbula, com o propósito de reverter (alinhar e nivelar) a má-oclusão descrita acima; 2) Implantes maxilares como base de sustentação de prótese fixa, com gengiva artificial para compensar a reabsorção óssea ocorrida ao longo dos anos; 3) Reposicão do elemento ausente na mandíbula com implante e coroa metalo-cerâmica; 4) Próteses unitárias diversas sobre raízes naturais; 5) Reanatomizações e restaurações diversas em resina composta direta.
TRABALHO APRESENTADO EM CONGRESSO DE LISBOA, EM ABRIL DE 2008:

 Caso anunciado na REVISTA PLÁSTICA & BELEZA - 25/08/2008
Maiores detalhes:
|

|

|
|
ANTES
|
APÓS
|
| |
|
|

|

|
|
ANTES
|
APÓS
|
| |
|
|

|

|
|
ANTES
|
APÓS
|
| |
|
| |
|
|

|

|
|
Aumento posterior para facilitar mecânica ortodôntica no arco inferior
|
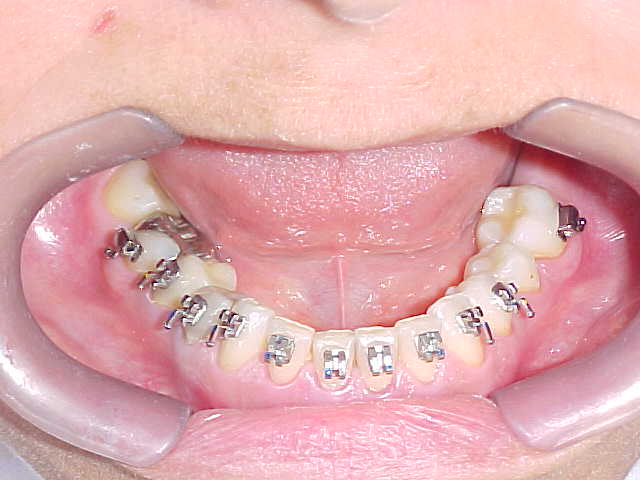
Aparelho ortodôntico instalado
|
| |
|
|
|

|
|
Aumento posterior para facilitar mecânica ortodôntica no arco inferior
|
Aparelho ortodôntico instalado
|
| |
|
|

|

|
|
Aumento posterior para facilitar mecânica ortodôntica no arco inferior
|
Aparelho ortodôntico instalado
|
| |
|
|

|
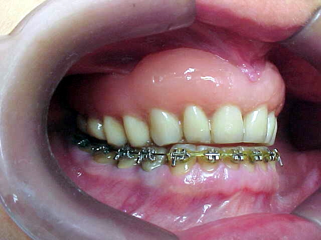
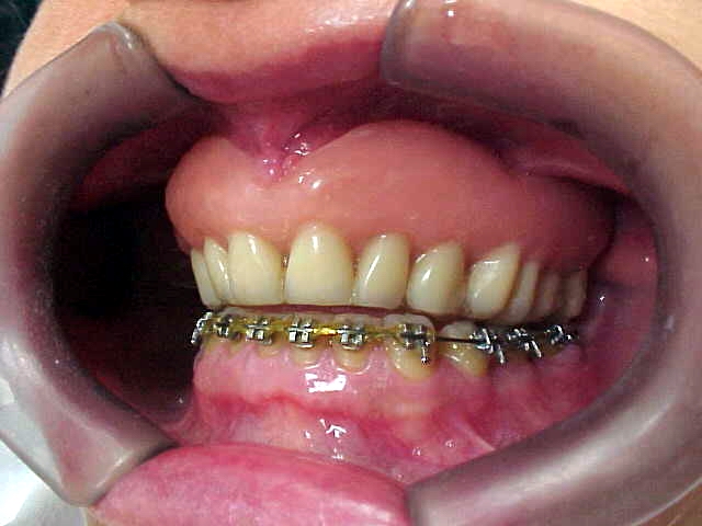
Confirmação da inclinação lingual generalizada em todos os elementos dentários
|
| |
|
| |
|
|

|
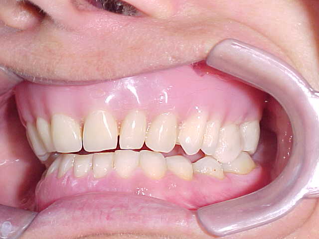
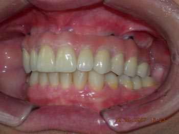
Vista lateral direita após correção ortodôntica e finalização da protocolo com dentes individuais em metalocerâmica
|
| |
|
|

|
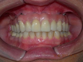
Vista frontal após correção ortodôntica e finalização da protocolo com dentes individuais em metalocerâmica
|
| |
|
|

|
Vista lateral esquerda após correção ortodôntica e finalização da protocolo com dentes individuais em metalocerâmica
|
| |
|
|

|
Conceito: Barra Metálica com núcleos contornados por acrílico imitando o tecido gengival (vista oclusal)
|
|
Antes da instalação
|
|
| |
|
|

|
Em harmonia com os lábios
|
| |
|
|

|
Total segurança ao sorrir
|
| |
|
|

|
Nesta técnica, os dentes separados permitem o uso do fio dental em todos os espaços
|
| |
|
|

|
Harmonia estética
|
| |
|
|
|
Reposição labial "SEM CIRURGIA PLÁSTICA"
|
| |
|
|

|
Resultado final
|
| |
|


 RX panorâmico anterior ao tratamento
 RX panorâmico posterior ao tratamento
O Planejamento, a cirurgia para instalação dos implantes de titânio e as articulações dentárias, provisórios, ortodontia em mandíbula, próteses inferiores e dentisteria(restaurações) do caso apresentado nesta página foram realizadas pelo Dr. Amilcar Fernandes Neto.
|
Protocolo com dentes individualizados - Implantes individuais? Prótese sobre implantes com dentes separados permitindo permitem uso de fio dental. É possível passar fio dental com implante? Variação de técnica para uso do fio dental com implantes dentários.Cirurgião-Dentista paranaense apresenta um revolucionário método de reabilitação estética com implantes dentários, para situações de grande perda de estrutura óssea em altura.
telefone 0800 implantes dentarios imbra implantes dentários curitiba são paulo fone telefones imbra implantes dentários telfone telfones imprante imprantes de denti imprantes di denti
|