| |
 |
|
 |
|
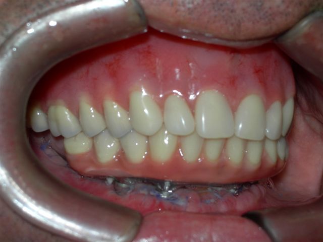
Estudo para estabelecimento da articulação dentária e dimensão vertical (VISTA FRONTAL)
|
Confirmação dos registros de articulação entre chapa de prova superior e a guia multifuncional inferior (TRANS-CIRÚRGICO)
|
| |
 |
|
 |
| Seqüência cronológica laboratorial: 1) Fase de construção da barra protocolo com cera e componentes calcináveis e 2) Acrilização final |
| |
 |
 |
|
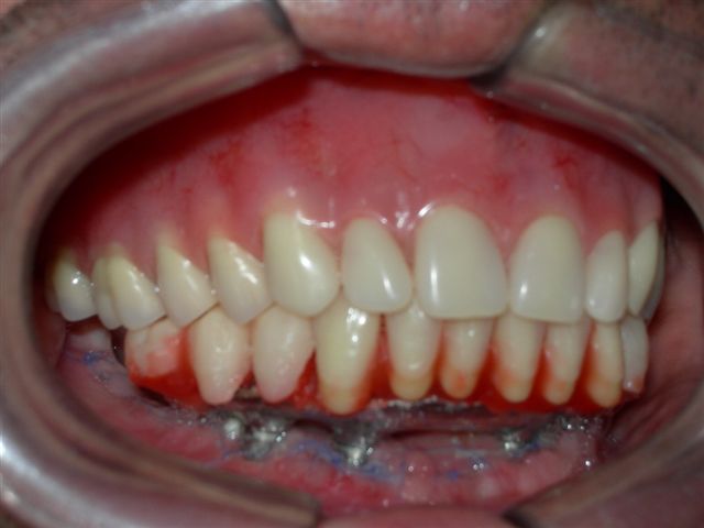
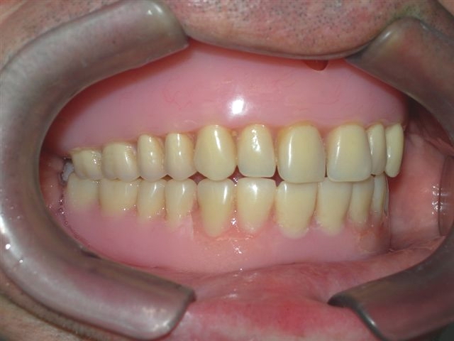
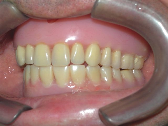
Prova de articulação em boca (montagem em cera sobre barra metálica) (vista lateral direita)
|
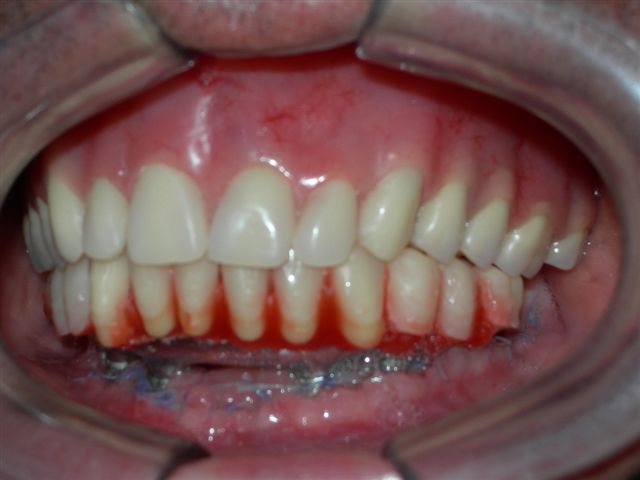
Prova de articulação em boca (montagem em cera sobre barra metálica) (vista lateral esquerda)
|
| |
| |
 |
 |
Protocolo acrilizada (VISTA SUPERIOR) |
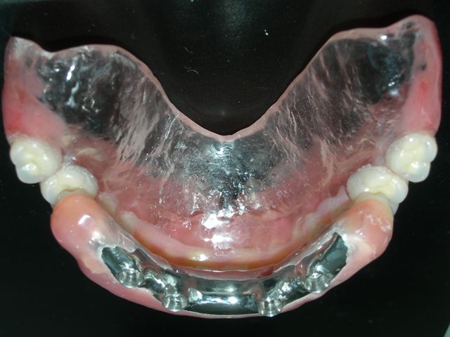
Protocolo acrilizada (VISTA INFERIOR) |
| |
 |
 |
| Próteses antagonistas (VISTA DIREITA) |
Próteses antagonistas (VISTA ESQUERDA) |
| |
 |
|
 |
Prótese Total Superior (VISTA OCLUSAL) |
Prótese Total Superior (VISTA INTERNA)
|
| |
| |
 |
|
 |
|
Próteses antagonistas (VISTA PELO ÂNGULO DE INSERÇÃO)
|
Próteses antagonistas (VISTA OCLUSAL)
|
| |
 |
 |
Prova de articulação pós acrilização (fase laboratorial) |
Prova de articulação após acabamento (fase laboratorial) |
| |
| |
| ÂNGULOS ESPECIAIS |
| |
 |
Vista interna da articulação entre as próteses antagonistas |
|
|
| |
 |
Vista interna da articulação entre as próteses antagonistas |
| |
|
| |
 |
Próteses antagonistas articuladas entre si sobre bancada (Vista do ângulo de insercção da prótese protocolo inferior) |
|
|
| |
|
O Planejamento, a cirurgia para instalação dos implantes de titânio e as articulações dentárias (montagem laboratorial) do caso apresentado nesta página foram realizadas pelo Dr. Amilcar Fernandes da Silva Neto.
|