Caso clínico reabilitado estética e funcionalmente por um sistema de implantes com carregamento imediato* (PROTOCOLO DE CARGA IMEDIATA DE BRANEMARK) no maxilar inferior, em articulação com dentadura superior personalizada e caracterizada com gengiva artificial. Tempo de tratamento entre a cirurgia e a instalação das próteses: 72 horas. Ressalte-se a relevância dos efeitos cosméticos conquistados nessa reabilitação, onde se confirma nitidamente a reversão dos sinais de envelhecimento, devolvendo à paciente uma aparência mais jovial.
*a prótese é posta em função logo após a instalação dos parafusos implantares.
|

|

|
|
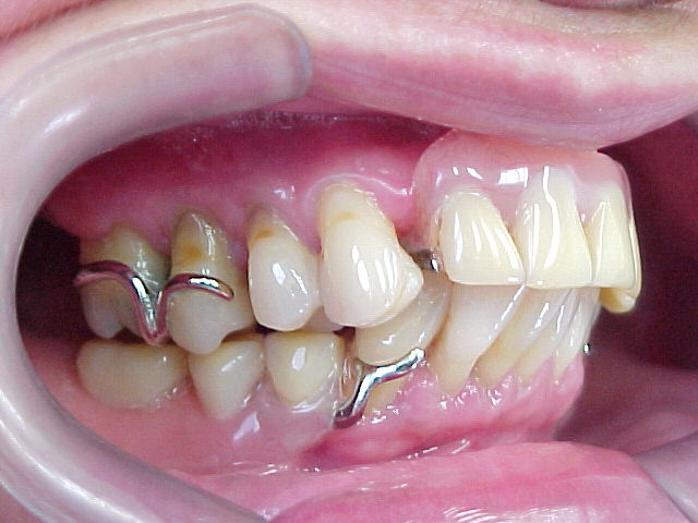
ANTES
|
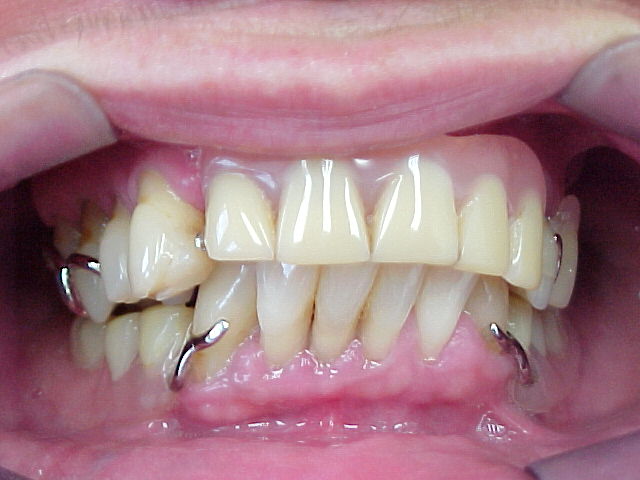
APÓS
|
| |
|
|

|

|
|
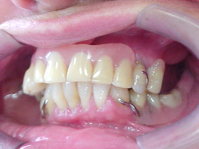
ANTES
|
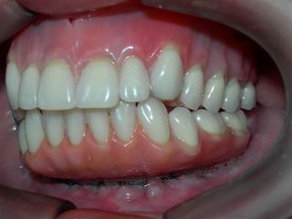
APÓS
|
| |
|
|

|

|
|
ANTES
|
APÓS
|
| |
|
|

|

|
|
VELHO PERFIL
|
NOVO PERFIL
|
| |
|
| |
|
|

|

|
|
VELHO PERFIL
|
NOVO PERFIL
|
| |
|
|

|

|
|
ANTES
|
APÓS
|
| |
|
|

|
|
|
ANTES
|
APÓS
|
| |
|
|

|

|
|
ANTES
|
APÓS
|
| |
|
|

|
Montagem e articulação
dentária em laboratório
(Vista esquerda)
|
| |
|
| |
|
|

|
Montagem e articulação (Vista direita)
dentária em laboratório
|
|
|
|
| |
|
|

|
Registro sobre a
"Guia Multifuncional"
(Vista direita)
|
| |
|
| |
|
|

|
Registro sobre a
"Guia Multifuncional"
(Vista esquerda)
|
|
|
|
| |
|
|
.jpg)
|
Sorriso reabilitado
("Close")
|
| |
|
| |
|
Planejamento multidisciplinarcirurgico e protético articulação/escultura e execução de todas as faces deste tratamento realizados pelo Dr. Amilcar Fernandes da Silva Neto
|