
VISTA FRONTAL (anterior ao tratamento) |
 |
|
VISTA FRONTAL (posterior ao tratamento) |
| |
|
 |
 |
MODELOS DE ESTUDO EM GESSO (vista latera direita) |
MODELOS DE ESTUDO EM GESSO (vista latera esquerda) |
|
|
 |
 |
ANÁLISE FACIAL (avaliação inicial / planejamento) DESVIO SEVERO DA LINHA MÉDIA PARA A DIREITA |
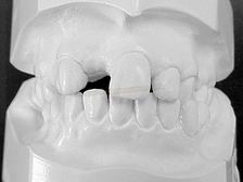
MODELOS DE ESTUDO EM GESSO (vista frontal) |
| |
|

ANÁLISE FACIAL (avaliação inicial / planejamento) DESVIO SEVERO DA LINHA MÉDIA PARA A DIREITA |
 |
| |
|
 |
 |
Antes da montagem do aparelho superior |
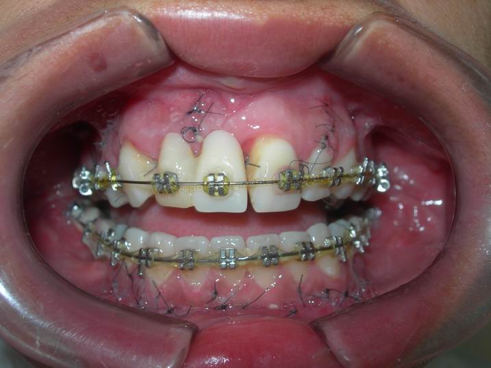
Adição de um elemendo provisório após instalação do aparelho fixo na maxila
|
| |
|
 |
 |
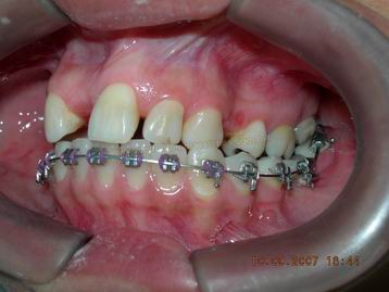
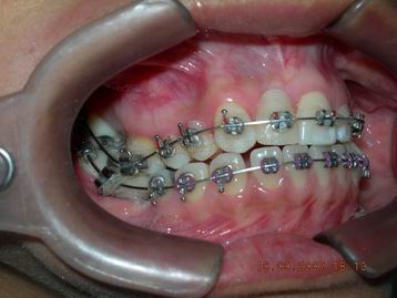
VISTA LATERAL DURANTE FASE DE ALINHAMENTO E NIVELAMENTO INFERIOR |
VISTA LATERAL DURANTE FASE DE ALINHAMENTO E NIVELAMENTO BIMAXILAR |
| |
|
 |
 |
| |
|
 |
 |
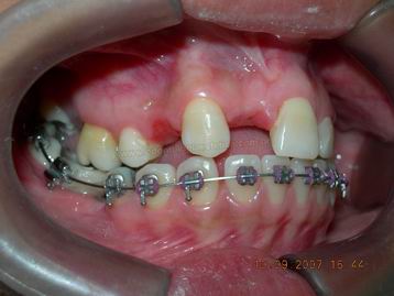
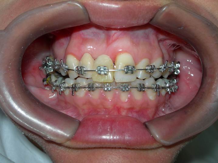
FASE INICIAL DO TRATAMENTO ORTODÕNTICO COM FIO RETANGULAR TERMOATIVÁVEL
|
FASE INICIAL DO TRATAMENTO ORTODÕNTICO (vista lateral esquerda) |
| |
|
 |
 |
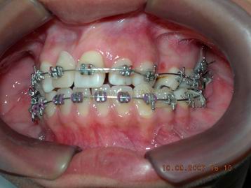
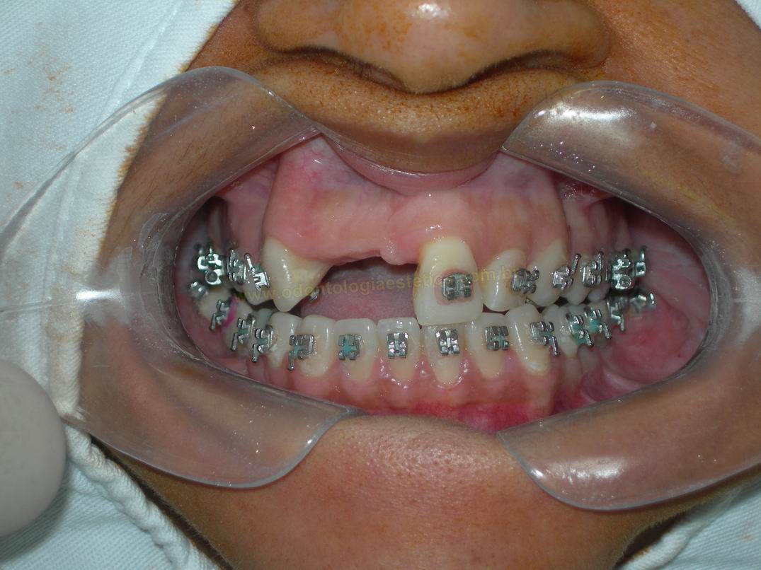
FASE INICIAL DO TRATAMENTO ORTODÕNTICO (vista lateral direita) ANTES DA ABERTURA DO ESPAÇO PARA O INCISIVO LATERAL DIREITO
|
FASE AVANÇADA DO TRATAMENTO ORTODÕNTICO APÓS ABERTURA DE ESPAÇO PARA A INSTALAÇÃO DE DOIS IMPLANTES
|
| |
|
| |
|
|
|
| FASE INICIAL |
FASE AVANÇADA DO TRATAMENTO ORTODÕNTICO APÓS ABERTURA DE ESPAÇO PARA A INSTALAÇÃO DE DOIS IMPLANTES |
| |
|
| |
|
 |
|
ANTES DO #ENXERTOOSSEO AUTÓGENO "EM BLOCO" PARA GANHO EM ESPESSURA NO REBORDO ALVEOLAR
|
GANHO DE VOLUME VESTIBULAR APÓS ENXERTO EM BLOCO |
| |
|
| |
|
 |
 |
| PÓS-OPERATÓRIO IMEDIATO |
PÓS-OPERATÓRIO APÓS ALGUNS DIAS
|
| |
|
| |
|
 |
 |
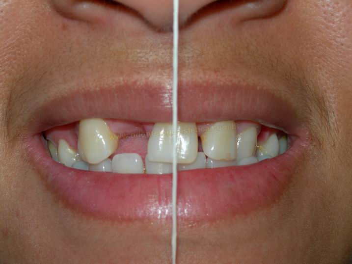
| ANTES DO TRATAMENTO |
APÓS O TRATAMENTO
|
| |
|
| |
|

OBSERVE-SE O AUMENTO DO REBORDO EM ESPESSURA |
 |
| |
PRÓTESES EM CERÂMICA NOS QUATRO INCISIVOS SUPERIORES |
| |
|
|
|
RESULTADO APÓS CIMENTAÇÃO DAS PRÓTESES: INCISIVOS DIREITOS: SOBRE IMPLANTES. INCISIVOS ESQUERDOS: FACETAS EM CERÂMICA.
|
| |
 |
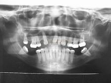
| RADIOGRAFIA PANORÂMICA INICIAL |
| |
|
Articulação dentária, planejamento e execução realizados pelo Dr. Amilcar Fernandes da Silva Neto
|