12 de março de 2026, 05:39 Busca no site:
 
 





Voltar

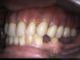
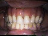
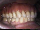
Paciente reabilitada por substituição de dentadura confeccionada a partir de "REGISTROS DE PRECISÃO
sobre Mucosa (elimina a fase de ajustes oclusais).

ANTES

DEPOIS
Vista Lateral Direita

ANTES

DEPOIS
Vista Frontal
 
Vista Lateral Esquerda
   

(Este caso aguarda a decisão da paciente
para realização de próteses no quadrante inferior esquerdo)