12 de março de 2026, 05:22 Busca no site:
 
 





Voltar

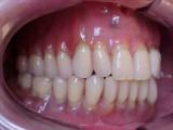
Paciente reabilitada por substituição de dentadura confeccionada a partir de "REGISTROS DE PRECISÃO" (elimina a desoclusão dos dentes anteriores pós-prensagem), com gengiva artificial caracterizada).

A orientação estética partiu da observação da articulação 
dentária da filha da paciente.

ANTES

DEPOIS
   
   
 
Vista Frontal
 
Vista Lateral Esquerda
 
 

ÂNGULOS ESPECIAIS

 
Aspecto final após instalação(Vista Lateral Esquerda)
 
Aspecto final após instalação(Vista Lateral Direita)
 
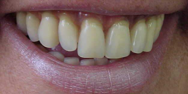
Aspecto final após instalação
 
Sorriso Reabilitado