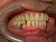
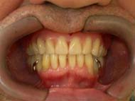
Diagnóstico: Edentulismo total em maxila atrófica, portando prótese total desgastada pelo uso prolongado. Edentulismo parcial em mandíbula com extrusão da bateria ântero inferior, condição a ser mantida devida à Altura Facial Ântero Inferior (AFAI) aumentada, segundo o "padrão facial" do paciente.
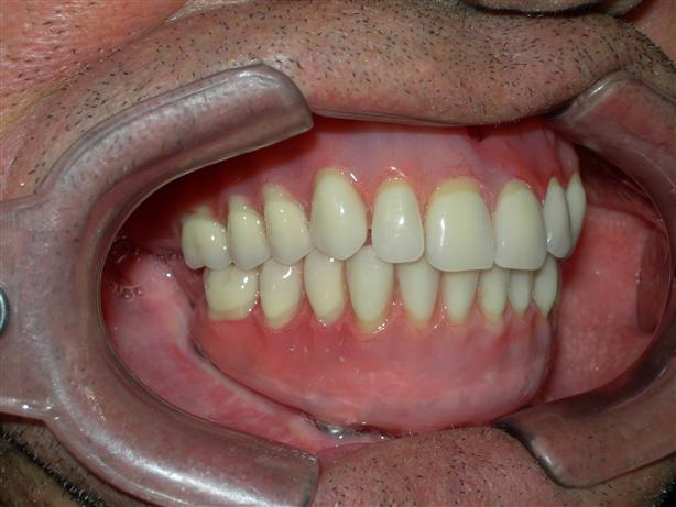
Plano de tratamento: Reabilitação bi-maxilar rápida, através de próteses personalizadas para recuperação estética e funcional, considerando-se extrações dentárias e instalação de implantes para fixação de prótese provisória inferior de carregamento imediato (carga imediata) e posterior instalação da prótese fixa metaloplástica, após cicatrização do tecido gengival.
Nota: Embora essa técnica de confecção de prótese fixa se assemelhe em todas as fases à da confecção das próteses tipo "protocolo", não é assim considaderada por definição, devido à utilização dos dois implantes extremos, que se localizam posteriormente aos forames mentonianos. No caso das protocolo, por descrição da técnica original, os implantes são utilizados tão somente no espaço interforaminal (entre o farame direito e o esquerdo), em número de 4 a 6 implantes, podendo haver variação desses números conforme a disponibilidade de espaço e volume mandibular. A apresentação das fases desse tratamento se faz dentro do padrão proposto nesta galeria, observando e comparando situações entre uma fase anterior e outra posterior, comprovando-se a evolução e/ou a "melhora", sem contudo exibir a ordem cronológica exata em que as referidas fases aconteceram. Por essa razão, fotos finais poderão constar no início, assim como fotos iniciais poderão surgir em qualquer fase da apresentação. Há que se ressaltar também a adição de "ângulos especiais", voltados mais especificamente para o registro dos resultados estéticos do tratamento concluído, no que diz respeito à harmonia facial e aos próprios objetivos do tratamento.
O autor: Amilcar Fernandes Neto.
|

|

|
|
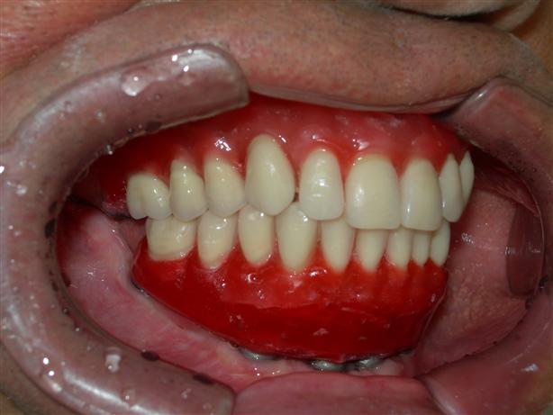
Antes
|
Após
|
| |
|
|

|

|
|
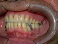
Como se apresentava antes do início do tratamento
|
Enceramento e prova de articulação em cera
|
| |
|
|

|

|
|
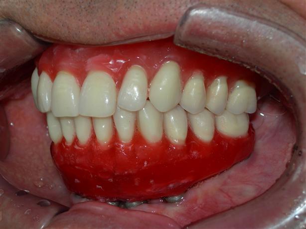
Prova final de articulação (vista frontal)
|
Próteses acrilizadas após instalação (Vídeo)
|
| |
|
|
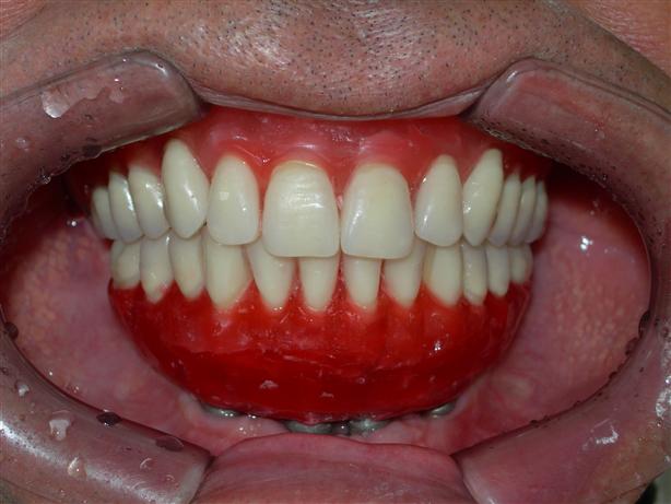
Close na região de colo da prótese fixa para comprovar a existência de espaço de higienização na proximidade com a mucosa gengival
|

|
| |
|
|

|

|
|
Prova final de articulação (vista esquerda)
|
Próteses acrilizadas após instalação
|
| |
|
|

|

|
|
Prova final de articulação (vista direita)
|
Próteses acrilizadas após instalação
|
| |
|
|

|

|
|
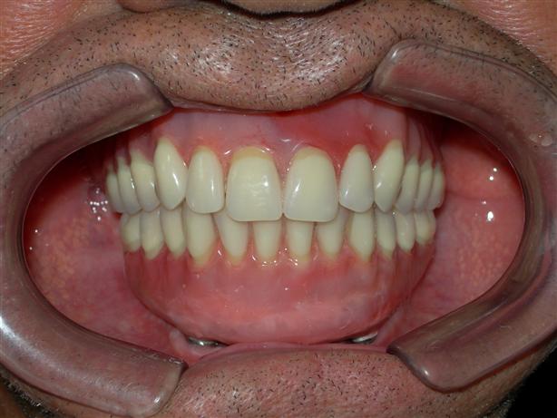
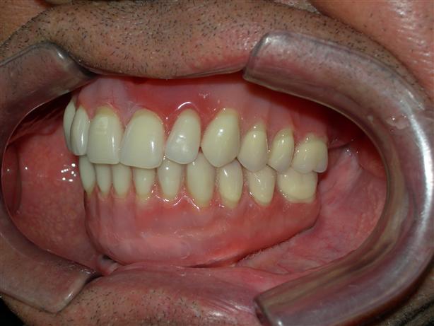
Prova final de articulação (vista frontal)
|
Próteses acrilizadas após instalação
|
| |
|
|

|

|
|
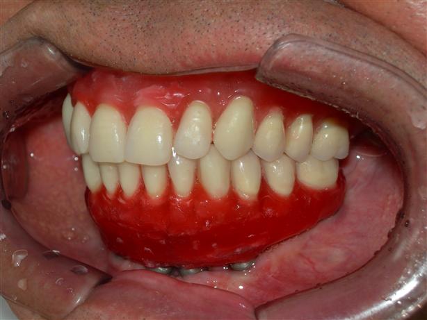
Prova final de articulação (vista frontal)
|
Próteses acrilizadas após instalação
|
| |
|
|

|

|
|
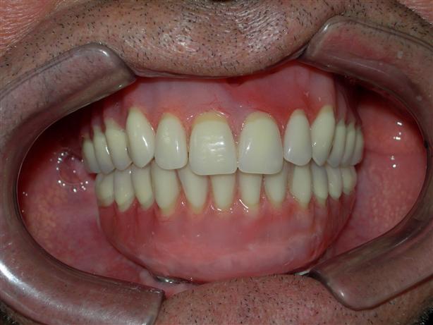
Antes do tratamento
|
Após tratamento
|
| |
|
|

|

|
|
Antes do tratamento
|
Após tratamento
|
| |
|
|

|

|
|
Antes do tratamento
|
Após tratamento
|
| |
|
|

|

|
|
Réplicas metálicas dos componentes aparafusados aos implantes, fixadas ao modelo de reprodução em gesso
|
Seis réplicas em número igual aos componentes instalados na mandíbula, justificando o conceito de prótese fixa, devido ao posicionamento dos últimos implantes de cada lado.
|
| |
|
|

|

|
|
Avaliação do espaço protético disponível para a prótese inferior
|
Espaços protéticos preenchidos com ambas as peças enceradas confirmando as dimensões das futuras próteses
|
| |
|
|

|

|
|
Vista da relação maxilo-mandibular segundo registro da dimensão vertical projetada
|
Avaliação do espaço protético inferior pelo lado esquerdo
|
| |
|
|

|

|
|
Vista da relação maxilo-mandibular segundo registro da dimensão vertical projetada
|
Avaliação do espaço protético superior pelo lado esquerdo
|
| |
|
|

|

|
|
Avaliação do espaço protético disponível para a prótese inferior de outro ângulo
|
Espaços protéticos preenchidos com ambas as peças enceradas confirmando as dimensões das futuras próteses
|
| |
|
|

|

|
|
Conclusão da articulação sobre modelos de gesso
|
Conferência da articulação em boca
|
| |
|
|

|

|
|
Visão do grande espaço disponível para construção das próteses (vista diagonal direita)
|
Visão do grande espaço disponível para construção das próteses (vista diagonal esquerda)
|
| |
|
|

|

|
|
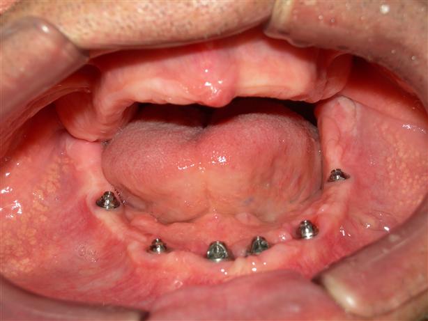
Componentes (mini-pilares cônicos de alturas diversas) instalados sobre os implantes
|
Próteses concluídas (Vídeo)
|
| |
|
|

|

|
|
Provisória imediata sobre implantes mandibulares seguindo as dimensões dos dentes naturais, com orifícios de acesso aos parafusos pela face vestibular, a ser corrigido pela seleção de componentes angulados
|
Próteses concluídas
|
| |
|
|

|

|
|
Provisória imediata sobre implantes mandibulares seguindo as dimensões dos dentes naturais, com orifícios de acesso aos parafusos pela face vestibular, a ser corrigido pela seleção de componentes angulados
|
Próteses concluídas
|
| |
|
|

|

|
|
Provisória imediata sobre implantes mandibulares seguindo as dimensões dos dentes naturais, com orifícios de acesso aos parafusos pela face vestibular, a ser corrigido pela seleção de componentes angulados
|
Próteses concluídas
|
| |
|
|

|

|
|
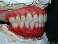
Prova em cera
|
Próteses concluídas
|
| |
|
|

|

|
|
Prova em cera
|
Próteses concluídas
|
| |
|
|

|

|
|
Prova em cera
|
Próteses concluídas
|
|

|

|
|
Inclusão da prótese removível na reprodução dos dentes naturais com resina acrílica para transformá-la em modelo guia para construção da provisória e guia multifuncional sobre implantes
|
Outro ângulo
|
| |
|
|

|

|
|
Modelo guia (vista oclusal)
|
Modelo guia (vista pela zona de cela)
|
|
|
|
|
|
|
| |
|
|

|
Próteses antagonistas enceradas
|
|
|
|
|

|

|
|
Barra metálica encerada (vista inferior)
|
Barra metálica acrilizada (vista inferior)
|
| |
|
|

|
|
|
Barra metálica encerada (vista oclusal)
|
Barra metálica acrilizada (vista oclusal)
|
| |
|
|

|
Conferência das alterações propostas durante análise da articulação em cera, fase em que é possível promover alterações de posição nos elementos dentários de estoque (dentes artificiais)
|
|
|
|
|

|
Mesma análise acima vista de outro ângulo
|
|
|
|
|

|
Análise de perfil dos tecidos moles fase em que é possível ajustar o perfil através de adição ou remoção de cera, além da própria alteração de posição dos elementos dentários artificiais
|
|
|
|
|

|
Mesma análise em close
|
|
|
|
|

|
Conferência do alinhamento do plano oclusal com demais planos faciais
|
| |
|
|

|
Vista oclusal da prótese total superior acrilizada
|
| |
|
|

|
Vista frontal da prótese fixa inferior acrilizada momentos antes da instalação
|
|

|
Próteses antagonistas articuladas entre si fora da boca (vista direita)
|
| |
|
|

|
Próteses antagonistas articuladas entre si fora da boca (vista frontal)
|
| |
|
|

|
Próteses antagonistas articuladas entre si fora da boca (vista esquerda)
|
| |
|
|
|
Próteses antagonistas articuladas entre si fora da boca (vista inferior)
|
| |
|
|
|
|
| |
|
|
Relação de posições dentárias com tecidos peribucais em diversos ângulos:
|

|
| |
|
|

|
Relação de posições dentárias com tecidos peribucais
|
| |
|
|
Relação de posições dentárias com tecidos peribucais
|

|
| |
|
|

|
Relação de posições dentárias com tecidos peribucais
|
| |
|
|

|
Relação de posições dentárias com tecidos peribucais
|
| |
|
|

|
Relação de posições dentárias com tecidos peribucais
|
| |
|
|

|
Análise de perfil dos tecidos moles
|
| |
|
|

|
Relação de posições dentárias com tecidos peribucais
|
| |
|
|

|
Relação de posições dentárias com tecidos peribucais
|
| |
|
|

|
Suavidade nos contornos peribucais
|
| |
|
|

|
Confirmação das análises anteriores
|
| |
|
|

|
Trabalho finalizado
|
| |
|
|

|
Trabalho finalizado
|
*O planejamento e execução de todas as fases desse tratamento foram realizadas pelo Dr. Amilcar Fernandes da Silva Neto.
Assista a todos os nossos "VÍDEOS"
dentista de curitiba melhor dentista do brasil melhores dentistas de curitiba melhores dentistas do brasil
|